he liver is an essential metabolic organ that will have secretory and excretory functions. It has a preeminent significance in the body because of its decisive functions like the removal of toxins associated with endogenous and exogenous substances like xenobiotics, viral infections, chronic alcoholism, bile secretion etc. liability to all the above complications results in liver failure. Worldwide the fatality and morbidity of liver disorders raise every year. Almost 20,000 fatalities and 2,50,000 new cases identified every year. Liver damage or failure is often related to hepatocytes necrosis and increased levels of biochemical parameters such as SGOT, SGPT, SALP and Total bilirubin levels. Even though remarkable improvements in modern medicine, there are hardly any reliable medicines which protect the liver from damage and/or assist in regeneration of hepatic cell. There are wide ranges of drugs and natural plants available in the commercial market for liver disorders. These products do not get rid of all of the liver conditions. For that reason, there is the urge to disclose the proper treatment (Nallamilli et al., 2013). Many plants that belong to family Araliaceae have been identified as hepatoprotective like Panax vietnamensis (Tran et al., 2001), Acanthopanax koreanum (Nan et al., 2008), Dendropanax morbifera (Bae et al., 2015), Panax ginseng (Kim et al., 2016) and Schefflera kwangsiensis (Wang et al., 2014).
Aralia racemosa L. (family: Araliaceae) is a plant which is native to the equatorial and fructiferous region of the world. The genus Aralia consists of 71 species of plants distributed all over Asia, Mexico, North America, and South America. In 1994 Smith identified the North American species of Araliaceae and recognized the following eight species of Aralia i.e., A. racemosa, A. californica, A. nudicaulis, A. spinosa, A. hispida, A. humilis, A. regeliana and A. scopulorum. Standley recognized five species of Aralia from Mexico: A. scopulorum, A. regeliana, A. humilis, A. pubescens, and A. racemosa (Wen, 2011). Traditionally, A. racemosa roots has a wide range of reputed medicinal Paracetamol -Induced Liver Injury in Albino Wistar Rat applications as carminative, antiseptic, in cough preparations, pain in the breast, mortifications, rheumatism, Whooping cough, skin diseases, pleurisy, diaphoretic, diuretic, pulmonary diseases, asthma, diarrhea, stimulant, expectorant, syphilis, inflammation and hay fever (Duke & Duke, 2006;Quattrocchi, 2012). Only a few pharmacological properties have been reported from this plant such as antioxidant, antidiabetic (McCune & Johns, 2002, 2003) and antitubercular (Grange & Davey, 1990). Few phytoconstituents are documented with this plant including triterpenoid saponins i.e., oleanolic acid, sterols i.e., ?-sitosterol and Diterpenoids i.e., ent-Kaurenoic acid, continentalic acid (Clement et al., 2013;McCune & Johns, 2002). As the genus Aralia is enriched with triterpenoid saponins, which may possess hepatoprotective activity based on precedent studies (Bae et al., 2015;Kim et al., 2016;Nan et al., 2008;Tran et al., 2001;Wang et al., 2014).
Therefore, the present research was sketch out to identify and isolate the chemical compounds of Aralia racemosa L. (A. racemosa) root methanolic extract for its hepatoprotective effect in albino Wistar rats.
Aralia racemosa L. root was procured in the month of September 2015, from Sri Venkateswara University, Andhra Pradesh. It was identified and authenticated by K. Madhavachetty, plant taxonomist, Department of Botany, Sri Venkateswara University, Tirupati, Andhra Pradesh and voucher specimen of the plant (No 1489) was deposited at the herbarium for future reference.
All the chemicals used for this experiment were of analytical grade. Paracetamol (E. Merck), silymarin (Sigma Chemical Co.,) and thiobarbituric acid (Sigma Chemical Co.,). Silica gel for column chromatography (CC) was performed on silica gel (Merck silica gel 60H, particle size 5 -40 ?m). Thin layer chromatography (TLC) was performed on Merck aluminum-backed plates, pre-coated with silica (0.2 mm, 60F254). The ultraviolet (UV) spectra of the compounds in methanol were recorded on a Shimadzu UV-1800 spectrophotometer. The IR spectra were recorded using KBr discs on a NICOLET 380 FT-IR spectrometer (Thermo Fisher Scientific, France) in the range of 400 to 4000 nm. The mass spectrum in ESI mode was obtained using LCMS2010A (Shimadzu, Japan) having probes APCI & ESI. Nuclear magnetic resonance 1 H NMR and 13C NMR spectra were recorded at 400 MHz, respectively on a Bruker DRX-400 spectrometer (Bruker Bio spin Co., Karlsruhe, Germany) in DMSO and CDCl 3 with tetramethylsilane as an internal standard. Melting points were determined using Royal Scientific RSW 138A melting point apparatus. Further elemental analysis of the compounds was performed on a Perkin Elmer 2400 elemental analyzer. Diagnostic kits for the estimation of serum glutamicoxaloacetic transaminase (SGOT), serum glutamic pyruvic transaminase (SGPT), alkaline phosphatase (ALP), serum cholesterol and serum bilirubin were manufactured by Ranbaxy Diagnostics Ltd., New Delhi, India. The standard orogastric cannula utilized for oral drug administration.
The study was carried out on Wistar albino rats (160-200g) of either sex (mahaveer Enterprises, Hyderabad.) and was kept at an animal house in V. V. Institute of Pharmaceutical Sciences, Gudlavalleru bearing CPCSEA registration number 1847/PO/Re/S/16/ CPCSEA. They were allowed to take standard pellet food and water ad libitum. Before the experiment, the rats were kept in standard environmental conditions at room temperature 25-27°C relative humidity (55 ± 5)% and 12 h light/12 h dark cycle for 7 days. All rats received humane care in accordance with the "Guide for the Care and Use of Laboratory Animals" (Kiran, Raju, & Rao, 2012).
The freshly collected roots were shade dried and pulverized. The powder (3 Kg) was treated with petroleum ether for the removal of fatty and waxy material. Then it was air dried and macerated with methanol, filtered and concentrated at 45°C in Buchi rotavapor. The weight of methanolic extract obtained was 73g (7.3% w/w yield). The methanolic extract had been suspended in distilled water in a separating funnel and partitioned sequentially with petroleum ether, chloroform, ethyl acetate and n-butanol to acquire fractions in these solvents. Eventually, left residual aqueous fraction at the end was collected. The solvents were removed on a rotary evaporator at low pressure to obtain dried fractions. These extracts were subjected to preliminary phytochemical screening and these extracts were stored in the refrigerator at 4°C for further use (Ahmed, Saeed, Shakeel, Fatima, & Arshad, 2015).
Petroleum ether extract (PEE) was subjected to silica-gel (100-200 mesh) column (length 100 cm and diameter 3 cm) chromatography (elution rate of 2 ml min?1 flow with a total elution of 200 ml) and eluted with Petroleum ether and ethyl acetate in different proportions. The consequent fractions (Fr) were collected and spotted over pre-coated silica gel F254 plates (20 × 20 cm, Merck, Germany). The optimum resolution was achieved in the hexane, ethyl acetate and formic acid (7.5: 2: 0.5 v/v) solvent system and the plates were sprayed with anisaldehyde-sulphuric acid reagent to visualize the spots. The fractions showing similar spots were pooled together and concentrated. The fractions which showed prominent spots were taken up for spectral studies which result in the identification of 4 compounds. The compounds PC-1 and PC-2 were identified as phytosterols by Libermann-Burchard's test (Figure 1a). The chloroform fraction was subjected to chromatography on silica gel (60-120 mesh, Merck) eluted with ethyl acetate-hexane (7:3) solvent system. Repeated chromatography to give major two pentacyclic triterpenoids i.e., PC-3 and PC-4 (Figure 1b) (Hossain & Ismail, 2013;Vasconcelos et al., 2006).
The methanolic extract of A. racemosa L. root was subjected to qualitative chemical analysis by using standard procedures as follows.
The phytochemical screening of carbohydrates was detected by molisch's test; Proteins was detected by using two tests namely Biuret test and millon's test and amino acids by Ninhyrdin's test; Steroids was identified by salkowski, Libermann-Burchards and Libermann's test; Alkaloids was identified with freshly prepared Dragendroff's Mayer's, Hager's and Wagner's reagents and observed for the presence of turbidity or precipitation. The flavonoids were detected using four tests namely Shinoda, sulfuric acid, aluminum chloride, lead acetate, and sodium hydroxides. Tannins were detected with four tests namely gelatin, lead acetate, potassium dichromate and ferric chloride. The froth, emulsion, and lead acetate tests were applied for the detection of saponins. The steroids were detected by (acetic anhydride with sulfuric acid) and (acetic chloride with sulfuric acid) tests. Sample extracted with chloroform was treated with sulfuric acid to test for the presence of terpenoids. Ammonia solution and ferric chloride solutions were used for the presence of anthraquionones (Alam & Najum us Saqib, 2015;Harborne, 1973;Khandelwal, 2008;Raaman, 2006;Singh, Khosa, Mishra, & Jha, 2015).
To evaluate the toxicity of A. racemosa extract the acute toxicity study was performed based on OECD (Organization for Economic Cooperation and Development) 423 guidelines up to the dose of 2000 mg/Kg. The rats were observed for 1 h continuously and then hourly for 4 h and finally after every 24 h up to 14 days for any physical signs of toxicity, such as writhing, gasping, palpitation and decreased respiratory rate or mortality. No animals died. Therefore the LD50 is greater than 2000 mg/kg. Pre-screening investigation with 200 and 400mg per body weight was done (Kiran et al., 2012).
Male Wistar rats weighing 150-180 g were used for the study. Animals were divided into 9 groups of 5 animals each. All rats were treated orally for 5 consecutive days (Kalantari, Forouzandeh, Azemi, Rashidi, & Goudarzi, 2013).
Group I: (normal control) received 0.5% tween 80 (1 ml/kg b.wt. p.o.) for 5 days.
Group II: (toxic group) received 0.5% tween80 (1 ml/kg b.wt. p.o.) for 5 days and PCM (2 g/kg b.wt. p.o) on the 5 th day. ii. Assessment of liver function test Animals had been sacrificed and blood was obtained directly via retro-orbital plexus. Serum was separated after coagulating at 37 °C for 30 min and centrifuged at 3000 rpm for 15-20 min. Serum was used for the estimation of biochemical parameters like serum glutamate pyruvate transaminase (AST), serum glutamate oxaloacetate transaminase (ALT) and alkaline phosphatase (ALP) and the liver tissues collected were subjected to histopathology. AST, ALT, and ALP were measured by using diagnostic kits (Kalantari et al., 2013).
iii. Histopathological studies Livers of different groups were fixed in 10% buffered neutral formalin for 48 h and then with a bovine solution for 6 h. Paraffin sections were taken at 5 mm thickness, processed in alcohol-xylene series and were stained with alum hematoxylin and eosin. The sections were examined microscopically for histopathological changes (Kiran et al., 2012).
All values expressed as mean±SEM; n=5 rat in each group, by one-way ANOVA followed by Tukey's Multiple Comparison Test using Graph pad Prism-5 software. p<0.05 was considered as significant (Kiran et al., 2012).
The methanolic extract of A. racemosa roots, when orally administered in the dose of 2000 mg/kg body wt. did not produce any significant changes in the autonomic or behavioral responses, including death during the observation period.
The phytochemical screening for various extracts viz., petroleum ether, chloroform, ethyl acetate, methanol, n-butanol, and water was carried out and results were displayed in Table 1. (-OH), 2934, 2866, 2339, 1602, 1566, 1461, 1409, 1383, 1251, 1191, 1154, 1109, 1089, 1053, 1020, 791 cm -1 ; ESMS m/z (%): 409.2, 395.3, 335, 161, 144, 121.1, 105.1, 97.1, 85.1, 69, 67.2, 65, 50.2; 1 H NMR (400 MHz, CDCl 3 ) ? ppm: 7.25 (1H, s, OH-2), 5.34-5.35 (1H, d), 5.12-5.18 (1H, m), 4.99-5.05 (1H, m), 3.48-3.56 (1H, m), 2.18-2.31 (2H, m), 1.93-2.09 (3H, m), 1.82-1.87 (2H, m), 1.66-1.75 (1H, m), 1.37-1.54 (13H, m), 1.05-1.31 (m, 7H), 0.99-1.01 (m, 8H), 0.90-0.98 (m, 2H), 0.78-0.85 (m, 9H), 0.66-0.70 (3H, t); 13 3424, 2959, 2936, 2867, 1602, 1565, 1465, 1382, 1332, 1242, 1191, 1154, 1051, 779, 450, 432, 416cm -1 ; ESMS m/z (%): 411.2, 397.3, 383.3, 311.2, 161.1, 81. iii. Ursolic acid White powder, C 30 H 48 O 3, MW 456.7 ; UV ? max (EtOH) nm: 203; IR (KBr) ? max 3450, 2925, 2869, 2339, 1556, 1456, 1387, 1247, 1157, 822, 444, 433, 422, 415cm - 3443,2941,2862,1694,1602,1566,1462,1388,1364,1304,1273,1208,1185,1161,1093,1028,960,791
Serum biochemical parameters are shown in Table 2. PCM administration induced destruction to hepatocytes confirmed by raised level of liver enzymes (ALT, AST, and ALP), total bilirubin and bilirubin as compared to control. Elevated levels of these enzymes are indicative of cellular damage and loss of functional integrity of hepatocytes. A single dose of PCM (2 g/kg) significantly higher (P < 0.001), elevated the ALT, AST, ALP, bilirubin and cholesterol levels (107.33, 100.33, 289, 0.10 and 75.23 units/mL) when compared to the normal animals (45.33, 51, 111.33, 0.08 and 39.63 units/mL) respectively indicating elevation in enzyme levels. Treatment of the rats with the MEAR (200mg/Kg, 400mg/kg), Oleanolic acid, Ursolic acid, ?-Sitosterol and stigmasterol have decreased the enzyme levels in the range of 51 -73 units/mL for ALT, 42 -68 units/mL for AST, 100 -151 units/mL for ALP and 0.04 -0.06 units/mL for bilirubin, 44 -58 units/mL for cholesterol which were found to be comparable to the enzyme levels (AST, ALT, ALP and TP) elevated by PCM induced rats. Standard drug Silymarin also reduced the enzyme levels in the range of 38.33, 41.67, 94, 0. Silymarin is a well-established hepatoprotective drug able to reduce the elevated levels of liver enzymes in various drug-induced hepatotoxicity. The administration of test compounds raised the reduced level of total protein in the range of 4.89 -5.51 units/mL and also decreased the elevated values of other enzymes as compared to toxicity value induced.
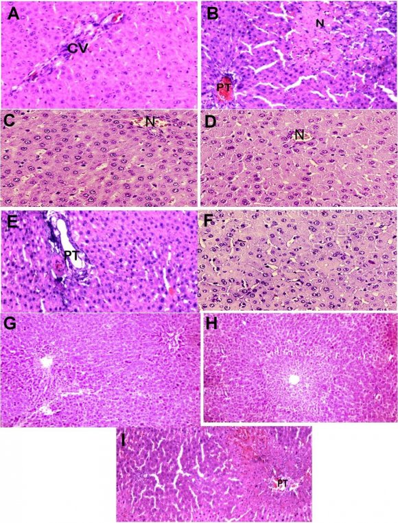
The histological examination of the liver section of the normal control group showed the normal architecture of normal liver histology i.e., hepatic central vein and sinusoids (Fig. 4A). The liver sections of rats treated with PCM alone showed prominent hepatic cell necrosis. (Fig. 4B). The liver section of rat treated with PCM and silymarin-treated groups preserves the almost normal structure of hepatocytes (Fig. 4I). In MEAR (200, 400 mg/Kg) treated groups, showing liver restoring to normalcy with little hepatic damage (Fig. 2C-D). In Oleanolic acid (20mg/Kg), Ursolic acid (20mg/Kg), ?-Sitosterol (20 mg/kg) and Stigmasterol (20 mg/Kg) treated groups, showed complete restoration of necrosis with the normal architecture of hepatocytes (Fig 4E-H). (Fig. 4). Plant medicines play a significant role by their various formulations for the remedying of various diseases. A few are already examined and scientifically validated for their potentials. Here, we designed the experiments to examine the hepatoprotective activity of MEAR for their development into safe natural drug candidates.
PCM is extensively used being an antipyretic drug that is safe in therapeutic doses, however, could cause fatal hepatic damage in human beings and animal at higher toxic doses. Bioactivation of PCM by hepatic cytochrome P-450 result in the formation of an extremely reactive and toxic metabolite N-acetyl-pbenzoquinone imine (NAPQI). NAPQI is generally detoxified through conjugation with reduced glutathione (GSH) to form the mercapturic acid that is eliminated by urine. The toxic overdose associated with PCM impoverishes hepatic GSH content so free NAPQI binds covalently to cellular mitochondrial proteins that inhibit mitochondrial fatty acid -oxidation and leads to significant necrosis and apoptosis of hepatocytes (Chen, Krausz, Shah, Idle, & Gonzalez, 2009;Kiran et al., 2012). A distinct sign of hepatic injury is the leaking of cellular enzymes like ALT, AST, and ALP into plasma because of the disruption caused by the transport functions of hepatocytes. ALT is more specific to the liver, and it is a surpassing criterion for analyzing hepatic injury. Higher levels of AST signify the cellular exudation together with the diminished functional ability of cell membrane in the liver. Serum ALP is also regarding to liver cell damage. High concentration of ALP results in serious hepatic damage in PCM treated rats (Bhattacharyya et al., 2013). The liver is the key source of the majority of the serum proteins. Bilirubin is a product of heme within the reticuloendothelia system; its marked up in the blood stream could be adduced to over production, increased hemolysis, decreased conjugation or impaired bilirubin transport (Abirami, Nagarani, & Siddhuraju, 2015). Bilirubin is a recueil which is used to assess the normal functioning of the liver rather than the extent of the hepatocellular injury. Phytoconstituents including triterpenoids and flavonoids are well recognized for their antioxidant and hepatoprotective activities. Phytochemical analysis of methanolic extract of A. racemosa revealed the presence of tannins, volatile oils, flavonoids, saponins, triterpenes, and glycosides.
In ALT, PCM treated group demonstrated a sententious exaggeration (P < 0.001) in the values in comparison to control group. There was a significant abatement (p< 0.001) in the enzyme level of the treated groups i.e., III -IX in comparison to PCM treated group.
In AST, PCM treated group exhibited a significant increase (P < 0.001) in the values in comparison to control group. There was a significant change (p< 0.001) in the enzyme level reduction of the treated groups i.e., III -IX in comparison to PCM treated group.
In ALP, PCM treated group exhibited a significant increase (P < 0.01) in the values in comparison to control group. There was a significant change (p< 0.001) in the enzyme level reduction of the treated groups i.e., III-IX in comparison to PCM treated group.
In Cholesterol, PCM treated group exhibited a significant increase (p< 0.001) in the values in comparison to control group except in silymarin treated group. There was a significant reduction (p<0.001) in the enzyme level reduction of the treated groups i.e., III -IX in comparison to PCM treated group.
In the Total protein, PCM treated group exhibited a significant increase (p< 0.001) in the values in comparison to control group except in silymarin treated group with significance p<0.05. There was a significant reduction (p<0.001) in the enzyme level reduction of the treated groups i.e., III -IX in comparison to PCM treated group. (Figure 4).
Our results provided strong evidence that A. racemosa extracts significantly inhibited the acute liver toxicity induced by high doses of PCM in the rat, as shown by a decrease in serum liver enzyme activities (AST, ALT, and ALP) and bilirubin concentrations (Tables 2). Moreover, the liver morphology and histopathology findings confirm the protective activity of this extract against the PCM induced liver damage as it is evident by the reversal of centrilobular necrosis in hepatic parenchyma by A. racemosa administration. Thus, as shown in Figures 2C and 2D, only mild inflammation was observed. Although this protective effect was dose-dependent, there was no significant difference between doses of 200 and 400 mg/ Kg of A. racemosa methanolic extract. Despite the fact that A. racemosa extracts significantly reduced ALT and AST levels in groups III and IV can't completely restore these biochemical parameters to the normal values. Moreover, group V -IX that received Oleanolic acid, Ursolic acid, ?-Sitosterol, and Stigmasterol showed significant differences with negative control group based on biochemical parameters (AST, ALT, ALP and bilirubin) and histopathological findings.
In conclusion, the results of the study demonstrate that methanolic extract of A. racemosa root possesses hepatoprotective activity against PCM induced liver injury in the rat. This property was attributed to the presence of triterpenes i.e., ursolic acid and Oleanolic acid which can be proven to normalize the disturbed antioxidant status possibly by maintaining the levels of glutathione through by inhibiting the production of malondialdehyde or might be because of inhibition of toxicant activation and the enhancement of body defense system. The hepatoprotection afforded by sterols i.e., ?-Sitosterol and Stigmasterol were associated with the enhancement in mitochondrial glutathione redox status, possibly with the glutathione reductase-mediated improvement in mitochondrial glutathione redox cycling. Thus, these kinds of triterpene and phytosterols serve as a potential mitohormetic agent for the prevention of oxidative stress evoked in the liver.





| Group V: (test group), received Oleanolic acid (20 mg/kg | |
| b. wt. p.o) for 5 days and PCM (2g/kg) was | |
| administered 1 hour after the last administration of crude | |
| extract. Group VI: (test group), received Ursolic acid (20 mg/kg b. wt. p.o) for 5 days and PCM (2g/kg) was administered 1 hour after the last administration of crude | Year 2017 |
| extract. | |
| Group VII: (test group), received ?-Sitosterol (20 mg/kg | |
| b. wt. p.o) for 5 days and PCM (2g/kg) was administered 1 hour after the last administration of crude extract. Group VIII: (test group), received Stigmasterol (20 mg/kg b. wt. p.o) for 5 days and PCM (2g/kg) was administered 1 hour after the last administration of crude extract. Group IX: (Standard group), received Silymarin (25 mg/kg b. wt. p.o) for 5 days and PCM (2g/kg) was administered 1 hour after the last administration of crude extract. | Volume XVII Issue II Version I |
| D D D D ) B | |
| ( |
| Phytoconstituents | Method | Pet. ether Extract | Chloroform Extract | Ethylacetate Extract | Methanolic Extract | n-butanol Extract | Aqueous Extract | |
| Shinoda Test | - | - | + | + | - | + | ||
| Flavonoids | Zn+HCl test Lead acetate Test | -- | -- | + + | + + | -- | + + | |
| Volatile oil | Stain test | + | - | - | + | - | + | |
| Alkaloids | Wagner Test Hager's Test | -- | + + | -- | + + | -- | + + | |
| Fecl 3 Test | - | - | - | + | + | + | ||
| Tannins & Phenols | Potassium dichromate test | - | + | - | + | + | + | |
| Saponins | Foam Test | - | - | - | + | + | + | |
| Phytosterols | Libermann's test | + | + | - | + | - | - | |
| Carbohydrates | Molish test | - | - | - | + | - | - | |
| Acid compounds | Litmus test | - | - | - | - | - | - | |
| Glycoside | Borntragers test | - | - | - | + | - | + | |
| Amino acids | Ninhydrin test | - | - | - | + | - | + | |
| Proteins | Biuret test | - | - | - | + | - | + | |
| Fixed oils & fats | Spot test | + | - | - | - | - | - | |
| C NMR (400 MHz, CDCl 3 ) ? ppm: 140.85 (C-4), |
| 138.31 (C-19), 129.40 (C-20), 121.72 (C-7), 77.34 (C-2), |
| 71.86 (C-11), 56.95 (C-17), 56.09 (C-21), 51.29 (C-10), |
| 50.29 (C-12), 42.41 (C-3), 42.30 (C-18), 40.46 (C-13), |
| 39.77 (C-5), 37.35 (C-6), 36.59 (C-8), 32 (C-9), 31.96 (C- |
| 1), 31.91 (C-22), 31.77 (C-16), 28.91 (C-15), 25.41 (C- |
| 24), 24.41 (C-23), 21.24 (C-26), 21.14 (C-14), 21.06 (C- |
| 29), 19.42 (C-27), 19.03 (C-25), 12.23 (C-28). PC-01 was |
| identified as Stigmasterol. |
| ii. ?-Sitosterol |
| 41.67±4.04 * | 38.33±4.51 * | 94±9.17 * | 0.04±0.02 a | 40.31±2.32 * | 5.94±0.13 * | ||||||
| ?-Sitosterol and | Stigmasterol on the serum levels of AST, ALT, ALP, Bilrubin, cholesterol and total proteins in PCM induced | hepatotoxicity in rat. | 51±4.36 100.33±10.6 68.67±4.93 * 56.33±7.76 * 51±5.56 * 42.67±5.03 * 53.33±5.03 * 44.33±4.04 * | 45.33±4.93 107.33±3.79 73.33±10.69 * 61.67±6.51 * 45±6.56 * 42.67±3.05 * 54.32±2.90 * 51±3.60 * | 111.33±9.07 289±10.15 151.33±10.50 * 126.7±6.11 * 107.7±8.73 * 100±8 * 117.7±9.2 * 108.3±6.50 * | 0.08±0.01 0.10±0.02 0.05±0.02 b 0.053±0.05 b 0.05±0.01 b 0.04±0.02 a 0.06±0.02 0.05±0.01 b | 39.63±4.15 75.23±3.22 58.2±2.38 * 51.35±2.43 * 48.3±1.98 * 44.36±2.05 * 51±3.72 * 46.64±1.32 * | 6.43±0.153 3.46±0.25 4.89±0.13 * 5.06±0.07 * 5.51±0.13 * 5.68±0.151 * 5.24±0.12 * 5.51±0.14 * | |||
| ALT (U/L) | ALP (U/L) | Total Bilrubin | (mg/dl) | Cholesterol | (mg/dl) | Total proteins | (g/dl) | ||||
This work was a part of the Ph.D. thesis of D.S.N.B.K. Prasanth under the guidance of Dr. A. Srinivasa Rao and Y. Rajendra Prasad in JNTUK, Kakinada and we extend our sincere thanks to Dr. A. Lakshmana Rao, Principal, and management of V. V. Institute of Pharmaceutical Sciences, Gudlavalleru, Andhra Pradesh, for providing the research facilities.
Hepatoprotective activity of Cichorium intybus (Linn.) root extract against carbon tetrachloride induced hepatotoxicity in albino Wistar rats. 10.1016/j.dit.2013.08.005. https://doi.org/http://doi.org/10.1016/j.dit.2013.08.005 Drug Invention Today 2013. 5 (4) p. .
Serum metabolomics reveals irreversible inhibition of fatty acid beta-oxidation through the suppression of PPARalpha activation as a contributing mechanism of acetaminopheninduced hepatotoxicity. 10.1021/tx800464q. https://doi.org/10.1021/tx800464q Chemical Research in Toxicology 2009. 22 (4) p. .
Antimicrobial activities of methanolic extract of Carissa opaca roots and its fractions and compounds isolated from the most active ethyl acetate fraction. 10.1016/j.apjtb.2015.05.006. https://doi.org/10.1016/j.apjtb.2015.05.006 Asian Pacific Journal of Tropical Biomedicine 2015. 5 (7) p. .
Hepatoprotective effects of aqueous extracts from leaves of Dendropanax morbifera leveille against alcoholinduced hepatotoxicity in rats and in vitro antioxidant effects. 10.1007/s10068-015-0193-xBhattacharyya. https://doi.org/10.1007/s10068-015-0193-xBhattacharyya Food Science and Biotechnology 2015. 2013. 24 (4) p. .
Hepatoprotective effect of leaf extracts from Citrus hystrix and C. maxima against PCM induced liver injury in rats. 10.1016/j.fshw.2015.02.002. https://doi.org/http://doi.org/10.1016/j.fshw.2015.02.002 Food Science and Human Wellness 4 (1) p. .
Study of the protective effect of Teucrium polium L. extract on acetaminophen-induced hepatotoxicity in mice. Iranian Journal of Pharmaceutical Research 2013. 12 (1) p. .
Diterpenoids and acetylenic lipids from Aralia racemosa. Biochemical Systematics and Ecology 2013. 51 p. .
Detection of antituberculous activity in plant extracts. 10.1111/j.1365-2672.1990.tb05224.x. https://doi.org/10.1111/j.1365-2672.1990.tb05224.x Journal of Applied Bacteriology 1990. 68 (6) p. .
A diterpenoid acanthoic acid from Acanthopanax koreanum protects against D-galactosamine/ lipopolysaccharide-induced fulminant hepatic failure in mice. Biological and Pharmaceutical Bulletin 2008. 31 (4) p. .
Antioxidant activity in medicinal plants associated with the symptoms of diabetes mellitus used by the Indigenous Peoples of the North American boreal forest. S0378-87 41(02)00180-0. https://doi.org/http://doi.org/10.1016/ Journal of Ethnopharmacology 2002. 82 (2-3) p. .
Symptom-Specific Antioxidant Activity of Boreal Diabetes Treatments. 10.1076/phbi.41.5.362.15942. https://doi.org/10.1076/phbi.41.5.362.15942 Pharmaceutical Biology 2003. 41 (5) p. .
Antioxidant and hepatoprotective effects of fermented red ginseng against high fat diet-induced hyperlipidemia in rats. 10.5625/lar.2016.32.4.217. https://doi.org/10.5625/lar.2016.32.4.217 Laboratory Animal Research 2016. 32 (4) p. .
Isolation and characterization of triterpenes from the leaves of Orthosiphon stamineus. 10.1016/j.arabjc.2010.10.009. https://doi.org/http://doi.org/10.1016/j.arabjc.2010.10.009 Arabian Journal of Chemistry 2013. 6 (3) p. .
Pharmacognostic standardization and preliminary phytochemical studies of Gaultheria trichophylla. 10.3109/13880209.2014.1003355. https://doi.org/10.3109/13880209.2014.1003355 Pharmaceutical Biology 53 (12) p. .
Investigation of hepatoprotective activity of Cyathea gigantea (Wall. ex. Hook.) leaves against PCMinduced hepatotoxicity in rats. 10.1016/s2221-1691(12)60055-0. https://doi.org/10.1016/s2221-1691(12)60055-0 Asian Pacific Journal of Tropical Biomedicine 2012. 2 (5) p. .
Pharmacognostical evaluation of aerial parts of Graptophyllum pictum (L.) Griff. (Syn: Justicia picta Linn.): A well-known folklore medicinal plant. 10.4103/0257-7941.160868. https://doi.org/10.4103/0257-7941.160868 Ancient Science of Life 2015. 34 (4) p. .
Triterpene saponins from Vietnamese ginseng (Panax vietnamensis) and their hepatocytoprotective activity. Journal of Natural Products 2001. 64 (4) p. .
Hepatoprotective triterpenoids and saponins of Schefflera kwangsiensis. 10.1055/s-0033-1360179. https://doi.org/10.1055/s-0033-1360179 Planta Medica 2014. 80 (2-3) p. .