hondromyxoid fibroma is a rare, slow-growing tumour accounting for less than 1% of all primary bone tumours. It tends to undergo regional
A 25-year-old unemployed male presented with complaints of a hard, painful mass on the lateral right ankle, which was gradually increasing in size over one weight bearing. The intensity of the pain was progressively worsening over the previous four weeks, and this was associated with mild limping. There was no history of trauma.
Core needle biopsy suggested a chondromyxoid fibroma. Preoperatively a staged procedure was planned because of the following factors: 1) The rarity of the diagnosis of chondromyxoid fibroma of the lateral malleolus, 2) The soft tissue invasion and 3) Chondromyxoid fibroma may be confused with malignancies histologically. The plan was for definitive histology to be obtained prior to performing a definitive procedure. Stage one consisted of an enblock excision and Steinmann pin stabilisation of the ankle. Stage two would have been definitive ankle arthrodesis using large fragment cancellous screws, if the post excision histology confirmed a benign tumour. Via a lateral approach (see fig. 3), the fibula was resected 3 cm proximal to the gross tumour (see fig. 4). The distal resection was just distal to the fibular tip. The lateral ligamentous complex was not readily discernible due to scar tissue. There was cortical irregularity of the tibia (see fig. 5) adjacent to the tumour. It was uncertain as to whether or not this was due to a simple mass effect of the distal fibular tumour. Grossly, a complete en-block resection was achieved (see fig. 6). The histological diagnosis remained unchanged post excision. Initial postoperative radiographs demonstrated a reduced ankle as well as complete tumour resection (see fig. 7 and fig. 8). The wound took twelve weeks to heal and the Steinmann pin was left in situ over that duration. At the two year follow up assessment; his ankle and subtalar joints remained stiff however he did not have any complaints in terms of functional limitation. C year. The pain was worse at night and after prolonged enlargement towards local tissues. According to the world health organization; it is a benign tumour with areas which are lobulated and has zones which are round or fusiform separated by abundant intercellular myxoid, chondroid and fibrinoid material as well as varying forms of multinucleated cells (1). The fibrotic areas are as a result of repair of degenerated areas and the myxomatous zones are as a result of necrosis of the chondroid tissue (1). The tumour is more common in males and it is most commonly located in the proximal tibia, distal femur, pelvis and foot (2). Histologically, it is not uncommon to be confused with more aggressive tumours. Chondromyxoid fibromas when treated by excision do not tend to recur and there are no reports of metastasis (2).
On examination, there was a 9 by 5 cm hard mass with hyper pigmented overlying skin (see fig. 1). The mass was nonpulsatile, nontender, non mobile, and was not fluctuant or warm. There were no ulcers, no evidence of surrounding oedema and no neurovascular deficits. The range of motion of the ankle and subtalar joints was limited.
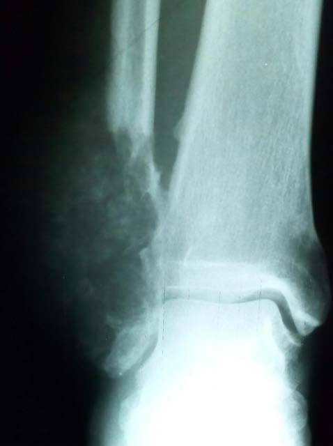
Radiographs revealed an oval, expansile, lobulated cystic lesion. There was obvious soft tissue invasion laterally and medially, there was a thin peripheral sclerotic rim (see fig. 2).
His ankle remained stable and pain free. There was no clinical or radiological evidence of tumour recurrence.
Chondromyxoid fibroma (CMF) is a benign, locally aggressive bone tumour which has lobulated areas of spindle-shaped or stellate cells with significant amounts of myxoid or chondroid intercellular material. A literature review of distal fibular tumours only consists of case reports and case series regardless of the diagnosis (3). Sharma et al. reported on the 40-year experience of CMF in the foot and ankle area from a bone registry. There were 10 cases with a mean patient age of 19 years and none of those tumours were located in the fibula (4). Persian et al. reported on all the tumours in the distal fibula in their hospital and none of the tumours were CMF. The differential diagnosis seen in that report included angioma, fibroma, lung adenocarcinoma metastasis, aneurismal bone cyst, schwannoma, osteochondroma and multifocal mesenchymal neoplasia. Giant Cell Tumour and chondrosarcoma ( 5) are other differentials.
Due to the rarity of distal fibular tumours, and the contribution of the distal fibula in the biomechanics of the ankle, the treatment remains controversial (3). Post resection of the distal fibula, numerous restraints are lost and this has formed the basis for ankle reconstruction to avoid ankle instability (3). The ankle is a complex formed by the lower fibular end, distal tibia, and talus along with complexed ligamentous supports. It is surrounded by a thin capsule which is weak anteriorly and posterior, however there are numerous static and dynamic stabilisers laterally and medially. The lateral malleolar tip is distal and posterior to the medial malleolar tip which limits eversion while simultaneously acting as a lateral buttress (6).
When the core needle biopsy suggested a CMF, it was recognised that this rare diagnosis may be confused with a more common malignant diagnosis such as a chondrosarcoma. A malignant diagnosis was also a consideration because of the cortical breach of Berenstein-Weyel et al. found only 3 cases of CMF in the lateral malleolus in their literature review. The first case was a 28-year-old patient who had intralesional curettage, cementation and intramedullary Kirshner wiring (8). The second case was a 25-year-old female with a recurrent CMF. The initial procedure was curettage without grafting. This was revised two years later with an en-block resection of the distal 12cm of the fibula and allograft reconstruction (9). The allograft was fixed onto the native fibula with a plate and screw construct along with a syndesmotic screw. The third case was a 27-year-old female whose tumour did not have a cortical breach and was therefore amenable to an intralesional excision followed by phenolisation, cementation and Steinmann pin stabilisation in the fibula (6). The index case however required en-block excision because unlike the first and third cases above, there was lateral cortical breach with soft tissue invasion.
Berenstein-Weyel et al reported on a case of CMF which was successfully solely treated with radiofrequency ablation in an 11-year-old patient with a 4cm lesion. Regardless of the specific diagnosis, surgical treatment usually has good outcome in all benign cases involving the distal fibula (3).
The more commonly used reconstructive options post resection of the distal fibula in the adult population includes: 1) Ipsilateral fibular transplantation ( 5) 2) Non-anatomic soft tissue reconstruction using peroneus brevis (10) 3) Osteoarticular allograft (11) 4) Ankle arthrodesis (3)
Nadkarni et al. reported on reversing the proximal fibula 180° and then incorporated the head of fibula into the ankle mortise. The reversed portion was fixed to the remaining fibula using a plate and screw construct plus a syndesmotic screw. The lateral followed by a protocol involving non weight bearing for three months and full weight bearing at six months. This was part of the reason why the Steinmann pin was retained for twelve weeks in addition to the fact that the wound took the same duration to completely heal. Kumar et al. described transecting the peroneus brevis tendon at the myotendinous junction then suturing this to the anterior talofibular and calcaneofibular ligaments before tenodesis was done to the distal tibia. This was followed by six weeks cast immobilisation. Aside from the delayed wound healing, this was not contemplated as a secondary procedure as the lateral ligamentous complex was compromised due to the presence of poor quality scar tissue. Soft tissue reconstruction has been found to be less stable than bony procedures (5), however it avoids the reduced function as well as non-union which are both potentially associated with arthrodesis (10). The reduced function from ankle arthrodesis is due to an alteration of the gait pattern while completely restricting the range of motion. Soft tissue reconstruction also avoids the non-union risk associated with autologous grafting or allograft, post excision. Additionally, there is also a lower infection risk due to a lack of implants involved in the procedure (4).
Jamshidi et al. reported union in all four cases where allograft was fixed to the native bone with a plate the fibula and the irregularity of the tibial cortex. The stabilisation with a Steinmann pin was meant to be temporary, until the definitive diagnosis was made post resection. The delayed wound healing prevented the surgical team from undergoing a secondary procedure. The Steinmann pin was thus unintentionally definitive fixation. ligamentous complex was also sutured. This was and screw construct with a separate syndesmotic screw. Average union time was twelve months. One case had an asymptomatic breakage of the syndesmotic screw and another had a 15 degree late valgus deformity. The patients all had favourable ankle scores including favourable ankle range of motion (11). In our setting, there is no local bone bank and the cost of procuring the allograft would have been prohibitive.
We believe that this procedure may be considered in any patient with a medical condition which predisposes to poor wound healing or if a patient has any significant risk factor which impairs wound healing. Another potential group of patients to consider are low demand patients in whom reduced range of motion of the ankle will not significantly impair their ability to perform their activities of daily living. Patients who are in an environment with limited resources including implants and equipment may also benefit. The procedure is technically straight forward and reproducible with minimal cost. Our unemployed patient was unable to afford any implants hence fixation options were significantly limited. The period of non weight bearing is similar to the much more technically demanding procedures. There is an avoidance of a nonunion risk which may be a complication of both arthrodesis, and plate and screw fixation of the bone graft (whether allograft or autogenous grafting) and the native bone. There is also the avoidance of dissection in the common personal nerve territory (5) or an incongruent fibular head articulation after the 180°r eversal procedure utilised by Nadkarni.
Currently, the procedure of choice for distal fibular benign tumours is determined by the surgeon's experience and preference, as opposed to the nature and tumour extent, which reflects the lack of guidelines and high-quality evidence in the current literature (3).







The author has no conflict of interest relevant to this article.
This research did not receive any specific grant from funding agencies in the public, commercial, or notfor-profit sectors, and no material support of any kind was received.
Chondromyxoid fibro: a rarely encountered and puzzling tumour. Clan Northup Relate Res 2005. 439 p. .
Clinical management and surgical treatment of distal fibular tumours: a case series and review of the literature. International Orthopaedics (SICOT) 2012. 36 p. .
Chondromyxoid fibro of the lateral alveolus: a case report. Journal of Orthopaedic Surgery 2011. 19 (2) p. .
Chondromyxoid fibro: a rare tumour with an unusual location. Arch Northup Trauma Surg 2008. 128 p. .
Distal fibula reconstruction using a frozen allograft: a case report. Rev Chirr Northup Reparative Appear Mot 2004. 90 p. .
Chondromyxoid fibro of the foot and ankle: 40 years' Scottish bone tumour registry experience. International Orthopaedics (SICOT) 2006. 30 p. .
Chondromyxoid fibro of the distal fibula treated by percutaneous radiofrequency ablation. Journal of Orthopaedic Surgery 2017. 25 (2) p. .
Reconstruction of distal fibula with osteoarticular allograft after tumour resection. Foot and Ankle Surgery 2013. (19) p. .
Benign bone tumours. Inkster Course Lect 1996. 45 p. .
Giant Cell Tumour of distal fibula managed by en block resection and reconstruction with ipsilateral proximal fibula. Journal of Orthopaedic Case Reports 2015. 5 (1) p. .