pontaneous aortocaval fistula (ACF) was described first by Syme in 18311, complicating a syphilitic aneurysm. It is a rare entity, associated with 1% -4% of ruptured abdominal aortic aneurysms (AAA). The classic presentation of an ACF includes high-output cardiac failure, a palpable pulsatile abdominal mass and a machinery bruit. The presence of all of these symptoms occurs in only 20-50% of patients. Successful treatment of ACF by both open and endovascular methods has been reported, with mortality rates as high as 60% for the former and a paucity of data for the later3. There are no reported cases in which stent grafts were used to treat both the arterial and venous components of an ACF.
A 61-year-old male was transferred to the Emergency Room from an outside hospital with a known ruptured AAA.
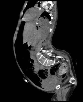
Upon arrival, he was hypotensive complaining of severe abdominal pain radiating to the back with new-onset paresthesia of his bilateral lower Extremities. The duration of symptoms was approximately two hours before evaluation in our institution. The patient was not in congestive heart failure. A CT Angiogram of the abdomen and pelvis was obtained and revealed a ruptured 7.5cm infrarenal AAA with contrast extravasations into the retro peritoneum. There was a significant contrast enhancement of the inferior vena cava (IVC) suggesting the presence of ACF (Fig 1). The aneurysm neck was highly angulated and approximately 12mm long. The patient was taken to our hybrid operating room (OR) for further treatment. Wire access was obtained through bilateral femoral artery cut-downs, and a Medtronic 26mm Talent main body device with AneuRxiliac limbs was placed with preservation of both hypo gastric arteries. Aortography revealed a large Type I end leak (EL) and persistent ACF ( Fig 2, Fig 3). A large Palmaz stent was mal-deployed at the neck and was, therefore, moved proximally and fully deployed in the thoracic aorta. A second well deployed Palmaz stent failed to completely resolve the Type I EL as did placement of a proximal aortic cuff with intentional coverage of the left renal artery. The femoral veins were cannulated, and a large compliant balloon was inflated in the IVC to occlude the ACF with a resultant significant decrease in the Type I EL suggesting that closing the fistula by placing a stent graft within the inferior vena cava (IVC) at the bifurcation might resolve the large end leak. A sufficiently large stent graft was not available at the time so the patient was transferred to the ICU where he remained stable until he returned to the operating room on the second post-operative day. The ACF was excluded by a deployment of a Gore TAG device within the IVC followed by placement of bilateral iliac vein reversed Gore 16x20 limbs (Fig 4). Aortography demonstrated a small Type III end leak which was not treated at this point.
In the ensuing days, however, the patient's hematocrit decreased and a repeat CTA showed the retroperitoneal pseudo aneurysm and aneurysm to have significantly increased in size, a recurrent ACF and both large Type I and III endoleaks and a right femoral DVT. The patient returned to the OR for possible endovascular or open aneurysm repair. During surgery, the left and right iliac stent grafts were relined with Gore excluder limbs, the Palmaz stent was once again repositioned into the thoracic aorta, and the proximal aortic stent graft was re-ballooned with a noncompliant balloon. All endoleaks were now resolved as was the ACF (Fig 5). An IVC filter was also placed. After this procedure, the patient's post-operative course was uncomplicated and discharged home in good condition. At four year follow-up, the patient's aneurysm remains excluded with continued sac shrinkage and no evidence of an ACF.
The pre -operative diagnosis of spontaneous ACF is crucial when planning AAA repair both in elective and emergency cases. Before endovascular techniques, ACF represented an unwelcome challenge to the vascular surgeon who attempted the open repair. The most common method used was over-sewing the fistula from within an opened aneurysm sack, but this is associated with significant blood loss and high mortality, even in elective cases 4,5,6 .
The first description of the use of endovascular stent grafts in the treatment of arteriovenous fistulas was described by Boudghene et al. in an experimental study on a sheep model, where fistulas were created percutaneously 7 . This study was followed by a published case series by Juan C. Parodi 8 , in which he described the successful use of endovascular techniques for treatment in patients with arteriovenous fistulas as a result of a traumatic injury. The first use of endovascular exclusion for the treatment of ACF associated with AAA was described by Beveridge et al in 19989, and was followed by several similar reports [8][9][10][11][12][13][14] . In all of these cases, implantation of an aortic stent graft proved adequate to resolve the ACF, and none of the patients were reported to require further treatment.
Cases in which placement of an aortic stent graft does not resolve an ACF remain a challenge for vascular surgeons. There have been three reports in the literature describing the use of Amplatzer plugs to occlude unresolved fistulas after aortic stent graft placement. [15][16][17] and one, describing the use of EmbikrilatBrauhistoacrylic gel 18 . In another report, a covered tubular stent graft, deployed in the IVC, was used to successfully treat a persistent ACF manifesting as a type II endoleak in a patient who had endovascular treatment of ruptured abdominal aortic aneurysm six months prior 19 .
Our patient had a preoperative diagnosis of a large aneurysm which had ruptured both into the IVC and into the retro peritoneum. Despite repair of the aortic rupture with a stent graft and additional procedures including a Palmaz stent and a proximal aortic cuff, there remained a large type Iaendoleak and ACF. Placement of a bifurcated aortic stent graft within the IVC to completely cover the ACF ultimately resolved the type Iaendoleak and the ACF. A possible theory for why this succeeded is that the presence of a large ACF behaved as a large, low pressure outflow sump making adequate sealing of the aortic stent graft impossible. With the closure of the venous portion of the ACF, the outflow transitioned to a high -resistance system, which eventually led to thrombosis of fistula and resolution of endoleak. Wang et al described their experience with three cases of endovascular repair of ACF with hostile aortic anatomy. In all cases only aortic repair was performed and two out of three patients suffered from early type 1 or 3 endoleak requiring reintervention 20 . Although there are anecdotal reports of successful endovascular treatment of aortic rupture with ACF by placement of an aortic stent graft alone, the size of the ACF is not described nor is the quality of the proximal aortic neck. In our case the ACF was large and the proximal aortic neck highly angulated and short, making it difficult to manage with only one stent-graft exclusion.
End luminal stent-graft repair of IVC and other vein injuries have been previously described, mainly for treatment of traumatic injuries 21 . No long-term results for these treatments have thus far been reported in the literature. Silveira et al described similar repair of ACF with coverage of the venous portion of the fistula with a stent graft cuff from the venous access22. Similarly, Elk assaby et al described two cases with a simultaneous deployment of aortic and IVC stent grafts to exclude ACF in two patients with ruptured AAA with good shortterm results. 23 In our case, the midterm result has proved to be excellent and we will continue to monitor this patient for long-term treatment durability.
Clearly, despite our good result, further reports of similar treatments are necessary before any relevant conclusions or recommendations can be made for this uncommon entity.
Although aortocaval fistula, as a complication of a ruptured aortic aneurysm, remains a challenge in surgical management, endovascular treatment of such condition is feasible but may require both aortic and caval interventions for ultimate success.




Aortoiliac aneurysm with arteriocaval fistula treated by a bifurcated endovascular stent graft. Cardiovascular Interven tRadio 1998. 21 p. .
Endovascular exclusion of a large spotnaneousaortocaval fistula in a patient with a ruptured aortic aneurysm. Vascular 2013. 19 March 2013. p. .
Aortocaval fistula -percutaneous model and treatment with stent graft in sheep. Circulation 1996. 94 p. .
Tran catheter closure of aortocaval fistula with the amplatzer duck occlude. J EndovascTher 2005. 12 (1) p. .
Endovascular treatment of ruptured abdominal aortic aneurysm with aortocaval fistula. CardiovascInterventRadiol 2010. 33 p. .
Endovascular repair of aortic aneurysms, arteriovenous fistulas and false aneurysms. World J Surg 1996. 20 (6) p. .
Przetokaaortalno czcza w tetniakuaorty brzu sznejleczonastentgraftem. I embolizac japrzy pom ocyklejuhistoakrylowego. PrzegladLekarski 2012. 69 (7) p. .
Case of spontaneous varicose aneurysm. Edinb Med Surg J 1831. 36 p. .
Unusual aspect of aortovenous fistulas associated with ruptured abdominal aortic aneurysm. J Cardiovasc Surg (Torino) 2009. 50 p. .
Endovascular stent -graft repair of primary aortocaval fistula with an abdominal aortoiliac aneurysm. J VascSurg 2001. 33 p. .
Total endovascular management of ruptured aortocaval fistula: technical challenges and case report. Vascular 2014. 22 (4) p. .
Endovascular repair of an aorto -left renal vein fistula due to a ruptured abdominal aortic aneurysm after EVAR. J Endovasc Surg 2005. 12 p. .
Percutaneous closure of aortocaval fistula using the amplatzer muscular VSD occlude. J Invasiev Cardiol 2011. 23 (8) p. .
Aortocaval fistularare complication of ruptured abdominal aortic aneurysm. SAJS 2009. 47 (3) p. .
Mutimodal approach in coincidence of covered ruptured abdominal aortic aneurysm and aortocaval fistula. Dtsch Med Wochenschr 2010. 135 (46) p. .
Inferior vena cava stent graft placement to treat endoleak associated with aortocaval fistula. J Endovasc Ther 2011. 18 p. .
Fenestrated stent -graft for traumatic juxtahepatic inferior vena cava injury. J Endovasc Ther 202 p. .
Endovascular treatment of an aortic aneurysm ruptured into the inferior vena cava. J EndovascTher 2000. 7 p. .
Aortocaval fistula treated by aortic exclusion. J VascSurg1995. 22 p. .
Emergent Endovascular Repair of Challenging Aortocaval Fistula With Hostile Anatomy. Vasc Endovascular Surg 2017 Jul. 51 (5) p. .