presentation. IVC thrombosis in abdominal TB is very rare. IVC thrombosis occurs due to Virchow's triad-stasis, injury, and hypercoagulability. Acquired thrombosis of the IVC can occur secondary due to external compression, pathological changes within the vein wall, and spontaneous thrombosis within the normal vessel wall. IVC compression by retroperitoneal lymph nodes can distort IVC causing both venous stasis and turbulence, thus facilitating the formation of thrombus. In ganglionar form of tuberculosis, venous compression by lymph nodes can cause IVC thrombosis in the absence of any hemostatic abnormality. We report a case of a 60-year old female who presented with abdominal distension and swelling in the bilateral lower limbs for one month. Ultrasound detected ascites and lymphadenopathy at porta hepatis. Computed axial tomography (CT scan) of the abdomen showed multiple well-defined lymph nodes at porta hepatis, peripancreatic region, celiac axis, left renal hilum, preaortic, and para-aortic regions, precaval and paracaval regions and in right internal iliac region. Most of the lymph nodes showed peripheral enhancement with central hypodense areas of necrosis. IVC distal to renal veins showed persistent filling defect with peripheral enhancement in contrast study extending to the right common iliac vein suggestive of IVC and right common iliac vein thrombosis.
Case Report 60-year old female patient presented with abdominal distension and swelling in the bilateral lower limbs for one month. There were no bowel and bladder complaints. There was no history of fever, cough, hemoptysis, breathlessness, and chest pain. There was a history of antipsychotic medication for psychiatric disorders whose details were not known. Crepts were noted in bilateral infrascapular and infraclavicular regions.
Ultrasound done elsewhere showed ascites and enlarged lymph nodes at portahepatis.
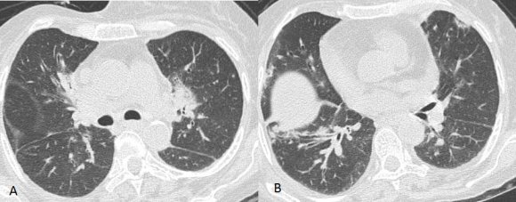
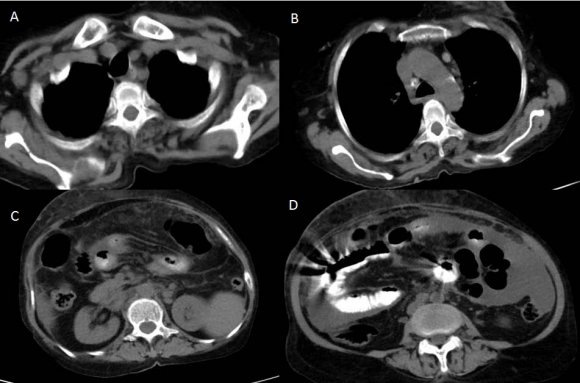
Computed axial tomography (CT scan) of the thorax (Figures: 1-3) showed small patchy areas of alveolar consolidation in the peripheral portion of the right middle lobe and lingula, and the left perihilar region. Multiple small nodular lesions were noted in the peribronchial region in the anterior basal segment of the right lower lobe and segmental bronchi of lingula. Multiple lymph nodes of size 5 to 10 mm were noted in pretracheal, right paratracheal, subcarinal region, in prevascular space and aortopulmonary window. Bilateral axillary lymph nodes also noted, the largest right axillary lymph node measured 13x13mm. Most of the lymph nodes showed peripheral enhancement with central hypodense areas of necrosis. Lymph nodes were also noted in the right juxtadiaphragmatic region, the largest measuring 13x9mm. There was no pleural effusion on either side.
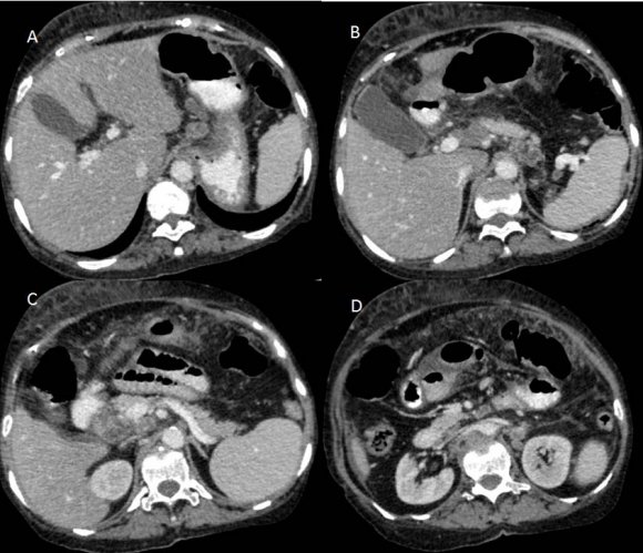
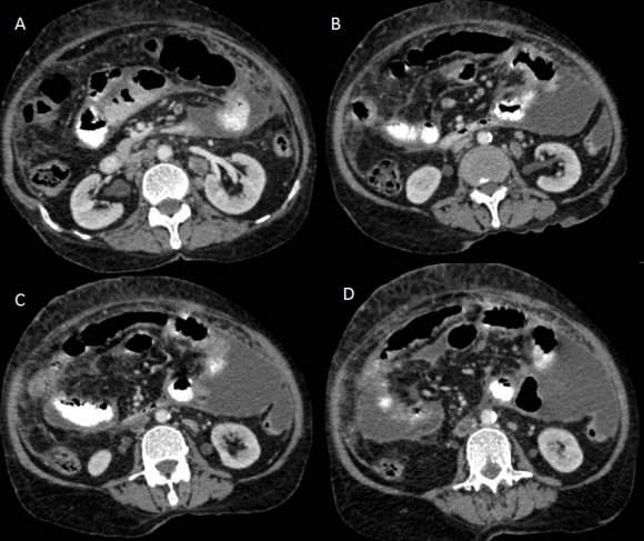
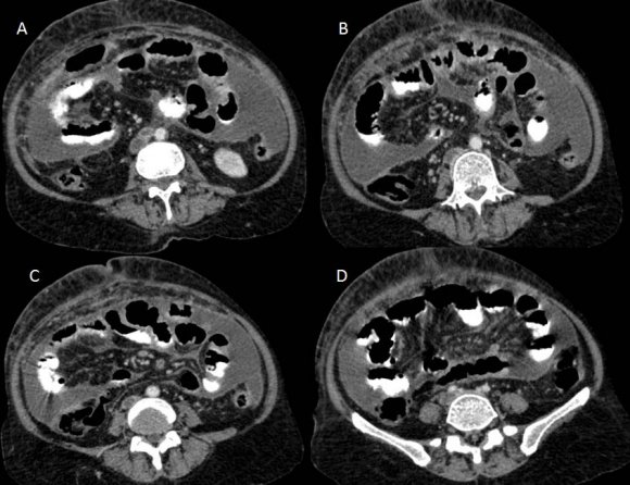
CT scan of the abdomen and pelvis (Figures: 4-8) showed changes of fatty infiltration in the liver. Multiple well-defined lymph nodes of size 1 to 2 cms were noted at portahepatis, peripancreatic region, celiac axis, left renal hilum, preaortic and para-aortic regions, precaval and paracaval regions and in right internal iliac region. Most of the lymph nodes showed peripheral enhancement with central hypodense areas of necrosis. A conglomerated matted lymph nodal mass of size 35 x 24 mm noted in the precaval region. Multiple ill-defined and nodular soft tissues infiltrate noted within the mesentery. Moderate ascites noted with mild peritoneal enhancement without septations. Ileo-caecal junction and other bowel loops appeared normal. IVC distal to renal veins showed persistent filling defect of size 10 (Anteroposterior) x 16 (Transverse) mm extending over a length of 67mm with peripheral enhancement in contrast study extending to right common iliac vein suggestive of IVC and right common iliac vein thrombosis.
Given the above findings, the possibility of tuberculous etiology with IVC thrombosis was considered.
Renal function tests and liver function tests were normal. CRP was positive. Hemoglobin was 8.5%.WBC count was normal. ESR raised-48. The platelet count was 2.1 lakh/mm 3 . Sputum for AFB was negative. Serum Amylase and Lipase were normal. Ascitic fluid showed the absence of coagulum and cobweb. The appearance was cloudy. The glucose level was 5mg/dl. ADA was 40 U/L. LDH was 500 Sigma Units. The number of
Abdominal tuberculosis may show an unusual presentation. IVC thrombosis in abdominal TB is very rare. It can occur due to mass effect by retroperitoneal lymph nodes with increased chronic inflammation and subsequent reactive thrombocytosis. 1 The thromboembolic complication in infection due to mycobacterium tuberculosis occurs in 1.5-3.4% of tuberculosis infection. The risk factor for deep vein thrombosis is related to hypercoagulable state secondary to the inflammatory state. 2 Thrombotic phenomenon can occur in deep veins in the lower limb, portal vein, IVC, cerebral venous sinus, central retinal vein and IJV. 2,3 III.
Tuberculosis can present as venous thromboembolism. Venous thromboembolism can occur early or late in the course of the disease in spite of ATT. 4 Tuberculosis can cause thrombosis by various mechanisms like venous compression, local invasion or by producing the hypercoagulable state. 4,5 IVC thrombosis is related to the spectrum of deep vein thrombosis. It is usually under-recognized as it is not commonly identified or pursued. Hence IVC thrombosis presents as a diagnostic and therapeutic challenge. 6 IVC thrombosis occurs due to Virchow's triad-stasis (alteration in blood flow), injury (changes in the vessel wall), and hypercoagulability (alteration in the blood constitution). 5 Acquired thrombosis of the IVC can occur secondary due to external compression, pathological changes within the vein wall, and spontaneous thrombosis within the normal vessel wall. 6 IVC compression by retroperitoneal lymph nodes can distort IVC causing both venous stasis and turbulence, thus facilitating the formation of thrombus. 6 In the peripheral blood, disseminated TB causes activation of mononuclear cells. There is an increased synthesis of tumor necrosis factor-Alfa (TNF-Alfa) and Interleukin-6 due to the interaction of mononuclear cells activated with mycobacterial products 2 .
Inflammation, hemostatic changes, and hypercoagulable state are associated with tuberculosis, causing deep vein thrombosis. Hypercoagulability in Tuberculosis is due to increase platelet aggregation, reactive thrombocytosis, increase plasma fibrinogen levels, and decrease Antithrombin-III and Protein-C. Deficiency of Protein-S and high frequency of antiphospholipid levels also observed in tuberculosis. Cytokines activate vascular intima by their proinflammatory character and make the endothelium thrombogenic 7 . These also stimulate the hepatic synthesis of coagulation proteins. 2 Hypercoagulability also increased by bed rest and immobility of the patient due to morbidity caused by the disease.
In ganglionar forms of tuberculosis venous compression by lymph nodes can cause IVC thrombosis in the absence of any hemostatic abnormality. 2 Underlying predisposed thrombophilic state with minor obstruction caused by lymph nodes or direct compression by large matted tuberculous lymph nodes may cause IVC thrombosis. 7 In our case, the coagulation profile was normal, eliminating the predisposed thrombophilic state. Hence direct venous compression by matted retroperitoneal lymph nodes along with changes in vessel wall was a probable explanation for IVC and right common iliac vein thrombosis.
Antituberculous treatment (ATT) causes improvement in hemostatic changes in the first month of treatment. 8 Hence it is started immediately along with anticoagulant therapy. Rifampicin affects cytochrome P-450 and can induce hypercoagulable state by decreasing production and increasing the clearance of anticoagulant hepatic proteins. Hence there is a higher risk of development of DVT in the initial phase of treatment. 5,9 Hence a higher dose of warfarin is necessary to achieve therapeutic INR levels. 2 IV.







Inferior vena cava thrombosis: a review of current practice. Vascular Medicine 2013 Feb. 18 (1) p. .
Tuberculosis and Venous Thromboembolism: a case series. Cases journal 2009 Dec. 2 (1) p. 9333.
Tuberculosis and Venous Thromboembolism: a case series. Cases journal 2009 Dec. 2 (1) p. 9333.
Association deep venous thrombosis with pulmonary tuberculosis. La Tunisiemedicale 2009 May. 87 (5) p. .
Abdominal tuberculosis and thrombosis of inferior vena cava: a case report. Hormozgan Medical Journal 2015. 18 (6) p. .