he esophagectomy is a complex surgery which has a high postoperative morbidity and mortalityrate 1 . Stenosis of the gastric tube by rotation is a rare complication with a difficult solution. The different options to resolve the stenosis range from endoscopic dilation to removing the gastric tube and performing a coloplasty two-three months later. There are very resolve the gastric tube rotation. With this case we want to present a minimally invasive treatment with very low risk when this complication occurs.
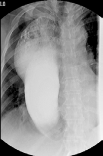
We report the case of a 63 year old woman with a history of type II diabetes mellitus and hypertension who had a squamous cell carcinoma (T2N0M0) in the middle third of the esophagus. According to the multidisciplinary team, the patient was operated onwithminimally invasive esophagectomy (thoracoscopy, laparoscopy and cervical esophagogastric anastomosis). During the first postoperative days no complications such as bleeding or infection were found. On the 7th postoperative day, oral contrast was given and there wasn´t any anastomotic leak. After starting with the progressive feeding, the patient went home on the 14th postoperative day. However, 5 days later, the patient came back to the hospital with the symptoms of postprandial fullness and vomiting. The esophagogastric study, CT and endoscopy showed a functional gastric tube stenosis secondary to rotation of the gastric tube. (Figures 1, 2 and 3). The stenosis itself was very elastic and the endoscope was passed-through easily.
few cases in the literature that use a stent to The first option we chose was the endoscopic dilation, butafter 3 attempts, it was not effective and the patient continued with intolerance to food. The second option was to place an undercover metallic stent by interventional radiologists, under general anesthetic. Initially it was effective but after 3 days, the stent migrated cranially. Finally, a 135mm length biodegradable SX-ELLA stent esophageal HV BIOMED® (ELLACS, Hradec Kralove, Czech Republic) was placed from the second portion of the duodenum to the prestenotic side of the gastric tube. This stent was endoscopically fixed with clips at its proximal portion to prevent its proximal migration (Figures 4 and 5). After two days of having placed the biodegradable stent, the oral contrast study was done and it showed no stenosis in the gastric tube (Figure 6). The patient was discharged on the third day after placing the stent eating soft food. After 5 months of stenting, the patient is completely asymptomatic.
The esophagectomy presents a great postoperative morbidity and mortality rate 1 . On the one hand, this is due to the general condition of the patients. Most of them have serious comorbidities (smoking, immunosuppression, malnutrition, neoadjuvant chemoradiotherapy ...). On the other hand, the surgery itself also presents high morbidity due to its aggressiveness comprising two or three approaches (abdomen, chest and / or neck). In addition, the anastomosis has a poor blood supply, itcould be with tension because the stomach is pulled up to the neck and the esophagus doesn´t have a serous, which are different risks for the anastomotic leak 2 .
The most common immediate complications of the esophagectomy are anastomotic fistula, respiratory and cardiac complications, surgical wound infections, urologic complications, thromboembolic complications, recurrent nerve palsy, chylous fistula, necrosis of the gastric tube, among others, which are registered bythe Esophagectomy Complications Consensus Group (ECCG) 3 . The functional stenosis of the gastric tube, becauseof itsrotation, is not one of the most frequent complications but it causes a serious problem in the postoperative period. The patients present intolerance to food, postprandial fullness and they start vomiting, not tolerating liquids or solids.
We report a case of a woman with squamous cell carcinoma in the middle third of the esophagus where a three-field esophagectomy was carried out. The patient presented food intolerance in the immediate postoperative period due to the rotation of the gastric tube. First of all, we tried to dilate the functional stenosis but it did not work because the endoscope couldn´t keep the twisted tube open. We also placed a covered metallic stent but the stent had cranially migrated by the third day. Finally, we decided to place a biodegradable stent from the second duodenal portion to the prestenotic area of the plasty by interventional radiologist. Furthermore, the endoscopist fixed with clips the most proximal side of the stent to the mucosa of the gastric tube. Two days later the oral contrast study showed that the stent was correctly in its place and had not migrated. After that, the patient started with the oral intake. Five months have passed since the biodegradable stent was placed and the patient has been asymptomatic with good oral tolerance both for liquids and solids. The purpose of placing a biodegradable stent was for twofold: first, because the long-term degradation of the stent would keep the functional stenosis open and second, because in this way the stent does not require removal.
Before the existence of those minimally invasive techniques, this complication required reoperation with probable disconnection of the digestive tract. In the literature, there are few cases in which this complication is shown and even fewer cases where a therapeutic option is indicated. Endoscopic dilation can be anoption with no aggressiveness, but that option does not offer a good result in the short and long term. Casson et al present a case where gastropexy was done, however, the right gastroepiploic artery was injured and finally they had to remove the gastric tube 4 . Other options are described such as plasty-yeyunostomy or performing a retrosternal coloplasty, but morbimortality rates in those cases are very high 5 .
At the beginning the self-expanding metallic stent was created for palliative use for unresectable esophagus tumors 6,7 . However, the stent is gaining other therapeutic options. It has been used in benign esophageal anastomotic strictures 8 , in the treatment of fistulas after esophagectomy 9 and also in the treatment of functional stenosis of the gastric tube. Donkervoort et al 10 present a case of volvulus of the gastric plasty after esophagectomy where self-expandable uncovered Ultraflex stent was placed and after two years with the stent, they proceeded to the removal of the stent without any complication. The endoscopy reveled a normal gastric tube lumen without the previous spiralling obliteration and gastric retention did not recur.
Some complications are registered due to the placement of metallic stent such as pain, nausea and vomiting, acid reflux, stent migration, bleeding and fistulas 11,12,13 . However, in this case, we used a biodegradable stent and the patient hasn´t experienced any of the above complications.
In conclusion, the use of a biodegradable stent fixed with clips in the gastric volvulus plastyafter esophagectomy is a therapeutic option. It can prevent the need for surgery with high morbi-mortality. However, more long term studies are still required in order to be sure of its effectiveness.
Volume XVI Issue II Version I






Volvulus of the intrathoracic stomach after total esophagectomy. J Thorac Cardiovasc Surg 1990. 100 p. .
Palliation of esophageal carcinoma with a new self-expanding plastic stent. Endoscopy 2003. 35 p. .
Antesternal colonic interposition for corrosive esophageal stricture. Indian J Surg 2014 February. 76 (1) p. .
International consensus on standardization of data collection for complications associated with esophagectomy. Annals of surgery 2015. 262 p. .
Esophageal salvage with removable covered self-expanding metal stents in the setting of intrathoracic esophageal leakage. The American Journal of Surgery 2011. 202 p. .
Predictors of operative death after oesophagectomy for carcinoma. Br J Surg 2005. 92 p. .
Successful sealing of bening esophageal leaks after temporary placement of a sel-expanding plastic stent without fluoroscopic guidance. Z Gastroenterol 2006. 44 p. .
Factor affecting cervical anastomotic leak and stricture formation following esophagogastrectomy and gastric tube interposition. Am of Surg 1992. 1 p. .
Metal stents for tumor of the distal esophagus and gastric cardia. Endoscopy 2003. 35 (1) p. .
Treatment of esophageal perforations and anastomotic leaks: the endoscopist is stepping into the area. Gastrointest Endosc 2005. 65 p. .
Management of complications of radical esophagectomy. Indian J SurgOncol 2013 June. 4 (2) p. .
Symptomatic malignant gastroesophageal anastomotic leak: management with covered metallic esophageal stent. AJR Am J Roentgenol 2001. 176 p. .