reast cancers are a diverse group of diseases that vary remarkably in terms of clinical presentation, histology, behavior and genetic characteristics [1]. There has been a steady increase in the incidence of breast cancers worldwide and especially in the developing countries, mainly attributable to globalization causing adaptation of western lifestyle and improved access to diagnostic modalities. As per the International agency for research on cancer, the number of new cases of female breast cancers in India in the year 2012 was 144,937.
[2] The mortality rate in the Indian cohort was 50% compared to that in USA, where only one woman out 5-6 patients die of breast cancer.
Breast cancers that express Estrogen and Progesterone receptors can be treated by hormonal Author ?: e-mail: [email protected] manipulation [3]. Targeted therapy towards HER2 neu has great success and Trastuzumab has been introduced as an adjuvant drug in those showing over expression of Her 2 neu [4]. A subset of breast cancers have been found to show no expression of any of the above mentioned markers. These have been labelled as Triple Negative Breast Cancers (TNBCs). Though hormonal manipulation is of no use in this subset, they have found to show expression of other markers such as basal Cytokeratins and EGFR. They have greater sensitivity to anthracycline based chemotherapy despite poor pathologic complete response [5].
This study focuses on identifying the cases of breast cancer at our centre, performing immunohistochemical studies of the basal Cytokeratin CK5/6 in them and studying their expression and correlation with various clinicopathological parameters.
Cases of breast carcinomas diagnosed between the years 2009 and 2014 were included in our study. The study was performed after getting approved by the Institutional Human Ethics Committee (IHEC). A few of the cases were rejected owing to the absence of sufficient clinical information, ER/PR studies or if blocks were unavailable. The requisition form sent by the operating surgeon was used for deriving information such as age, site, nodal status and other gross findings. Hematoxylin and eosin stained slides from representative sections of the breast tumours were used for grading and assessing the histological type of tumour, evidence of lymphovascular invasion, perineural invasion and skin involvement. Immunohistochemical staining for Estrogen Receptor, Progesterone Receptor, Her2neu and CK5/6 was performed on these sections after antigen retrieval in pressure cooker followed by EDTA buffer at an alkaline pH (pH of 9).
The antibody reagent clones were Clone EP1 by DAKO, Clone PgR 636 by DAKO, Anti-v-erbB-2 Clone CB11 by Biogenix and FLEX Monoclonal Mouse Antihuman Cytokeratin5/6 (Clone D5/16B4) for ER, PR, Her2neu and CK5/6 respectively. A two stage process involving binding of primary antibody to the targeted epitope; second step by identifying a secondary antibody bound to a dextran polymer with the help of horseradish peroxidase enzyme attached to a chromogen.
The various parameters analyzed were age, histological type, size of the tumour, grade, skin, lymphovascular and perineural invasions, number of axillary lymph nodes showing metastasis and staining properties of ER,PR, Her2neu and CK5/6.
Based on studies conducted by Rakha et al [1], Laakso et al [6] an arbitrary scoring system was drawn up for quantifying the expression of CK5/6. (Table : 1) III.
44 cases of female breast cancer were under study. The ages ranged between 33 and 67 years. The age group that had the most number of cases was 41 to 50 years. The commonest histological grade in our study was Grade 2, with 24 cases and 9 cases were grade 3(Fig: 1).
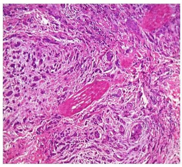
Fig. 1: Invasive ductal carcinoma NOS, H&E 400x 88% of the tumours were of the infiltrating ductal carcinoma, not otherwise specified (NOS). Two cases of micro papillary carcinoma, a case of metaplastic carcinoma and papillary carcinoma were included. Most cases (22) were of sizes between 2cm-5 cm. Lympho vascular invasion was seen in 20 out of 44 cases, with most cases belonging to Grade 2. Perineural invasion (Fig: 2) was seen in only two cases.
Estrogen receptor expression was seen in around 45% of cases and 52% of the cases showed Her 2 neu over expression. (Fig 3)
Breast carcinomas have emerged as the most common malignancy in Indian women. Not only is their incidence high, but the fatality rate of these cases exceeds those of the western population [6]. The cure rates, quality and length of life have improved in these women after the development of targeted therapy. Glass et al [7] observed quantitative and qualitative trends in breast cancer incidence. There has been a tremendous increase, particularly in ER positive tumours. The reason for the exponential rise has been attributed to the use of post-menopausal hormone replacement therapy and widespread utilization of mammography.
Breast cancers have been sub classified into 4 molecular subtypes. The subsets of breast carcinoma which are not susceptible to conventional therapy, have a paradigm shift in molecular genetics and immunohistochemical expression. These are the Basal-like breast carcinomas and the Triple Negative Breast Cancers.
The overall percentage of ER positive cases in our study was 45%, lesser when compared with western literature.(Fig 6). This is consistent with findings in a study conducted by Ambroise et al [8], which concluded saying that hormonal expression is lesser in the south Indian population. We noted that 54% of ER positive tumours were node positive and most ER positive neoplasms [9] were less than 2 cm in size. We inferred that due to the large size of the tumours in our study, there was increased nodal metastasis. Almost all the women with ER positive cases belonged to the 35 to 65 year age group.
Normalization technique was introduced for standardization of results and to avoid discordance between immunohistochemistry and FISH results. There is improved accuracy of HER2 studies using a subtraction scoring system in which a signal score of non-neoplastic breast epithelium is subtracted from that of the tumour [10]. Using this system, the proportion of HER2 positive tumours in our study is 63%. (Fig 7). This stresses the need to look into other markers and their routine use in South Indian cohorts. Dolle et al [11] inferred that Triple Negative Breast Cancers (TNBCs) are breast cancer subtypes associated with high mortality rate and resistance to hormonal manipulation and Herceptin. Since these tumours are negative for ER, PR and HER2, newer markers are to be identified for this subtype. These tumours have been seen with increased incidence in younger women (aged 45 years or younger). Our study showed close correlation, with the mean age of women with TNBCs being 46 years and nearly a third of the women were 40 or younger.
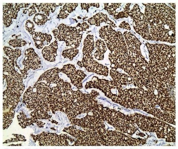
The purpose of our study was to identify a newer basal marker and observe the expression and clinic-pathological in cases of breast cancer at our centre. The basal marker that we selected for our study was CK 5/6 [12]. Clark et al suggested that CK5 is positive in breast progenitor cells, which are believed to be the cell of origin in basal-like breast cancers (Rakha) [1]. In our study, 25% of the cases were basal-like, with all of these tumours falling into either Grade 2 or Grade 3. Thus CK 5/6 was positive in 50 % of TNBCs (Fig: 8). The only case of metaplastic tumour was negative for basal markers. Nodal positivity in basal Cytokeratin positive cases in our study was nearly 80%. Vascular emboli were also prominent in these tumours, consistent with their highly invasive nature (Fig: 9). These malignancies are associated with poor prognosis and have a distinctive response to chemotherapy. Nielson et al [13] observed that a panel consisting of ER, HER2 and CK 5/6 to identify the basallike subset was useful as this immunohistochemical combination had a 76% sensitivity and 100% specificity rate when compared with genetic microarray analysis.
The conclusions drawn from our study is that CK5/6 positivity was seen in tumours of larger size and higher grades.







The skilled team of technicians at our histopathology laboratory who helped us with the practical aspects of this study.
Breast cancer incidence 1980-2006: Combined roles of menopausal hormone therapy, screening mammography and Estrogen receptor status. Journal of the National Cancer Institute 2007. 99 (15) p. .
Current issues in ER and HER2 testing by IHC in breast cancer. Modern Pathology 2008. 21 p. .
Oestrogen and Progesterone receptors in breast cancer: past, present and future. Histopathology 2001. 38 p. .
Immunohistochemical Profile of Breast Cancer Patients at a Tertiary Care Hospital in South India. Asian Pacific J Cancer Prev 12 p. .
Epithelial Mesenchymal Transition in Breast cancer relates to the basal like phenotype. Cancer Res 2008. 68 p. .
Basal-like breast carcinoma-From expression profiling to routine practice. Archives of Pathology & Laboratory Medicine 2009. 133 p. .
Risk Factors for Triple-Negative Breast Cancer in Women under Age 45. Biomarkers & Prevention : A Publication of the American Association for Cancer Research 18 (4) p. . (Cosponsored by the American Society of Preventive Oncology)
Estrogen receptor status by immunohistochemistry is superior to ligand-binding assay for predicting response to adjuvant endocrine therapy in breast cancer. Journal Of Clinical Oncology 1999. 17 (5) p. .
Cytokeratin intermediate filament expression in benign and malignant breast disease. Journal of Clinical Pathology 1994. 48 p. .
Basoluminal carcinoma: a new biologically and prognostically distinct entity between basal and luminal breast cancer. Clin Cancer Res 2006. 12 p. .
Immunohistochemical and clinical characterization of the basal-like subtype of invasive breast carcinoma. Clin Cancer Res 2004. 10 p. .
Molecular subtyping of DCIS: heterogeneity of breast cancer reflected in preinvasive disease. Br J Cancer 2011. 104 p. .