inonasal sarcoma (SNS) is a rare malignant tumor that forms in the nasal structures and it primarily affects women. This new form of cancer could pose surgical problems because it can spread throughout the facial structures if not detected early. Researchers at the Mayo Clinic discovered that when the genes PAX3 and MAML3 manage to combine, the result is a chimera that causes biphenotypic sinonasal sarcoma. The current available treatment for this tumor is a possible disfiguring facial surgery. However, new drugs are being manufactured to target this specific tumor. 1,2 The tumor begins in the nasal cavity and has the potential of spreading toward the rest of the face, typically in an outward fashion from each side of the nostrils. The research on this cancer began in 2004, when two Mayo Clinic pathologists noticed unusual tumor sample they were examining. They began collecting more data on the cancer in 2009 after they had seen more cases. By 2012 they published their discovery on biphenotypic sino-nasal sarcoma. The Mayo Clinic's most recent study in SNS, "Recurrent PAX3-MAML3 fusion in biphenotypic sino-nasal sarcoma" was published in the journal Nature Genetics. The researchers are particularly interested in this cancer's potential as a disease model. Its rare makeup could lead to a better understanding of other cancer's such as alveolar rhabdomyosarcoma which is a common cancer found in children, that has similarities to the PAX3-MAML3 chimera1,2.
The SNS phenotype is characterized by aberrant expression of Genes involved in neuroectodermal and myogenic differentiation closely simulating the development roles of PAX3.
Finally, this paper has been reported in line with the SCARE criteria.8
A 35 years old female presented to our clinic with a history of right nasal obstruction of two months at the time of presentation with recent attacks of epistaxsis.
On examination, the patient showed widening of the nasal dorsum and telecanthus, her vision and ocular movements were normal. On anterior rhinoscopy a large pinkish mass was seen filling the Right nasal cavity pushing the septum to opposite side. The posterior rhinoscopy showed the same mass confined within the right posterior chonae.
CT Scan of the nose and paranasal sinuses (PNS) revealed an enhancing mass arising from the right ethmoidal labyrinth and pushing the septum to the opposite side with expansion of the medial wall of maxilla. The mass was seen extending into posterior chonae and indenting the medial orbital wall with no bony disruption, there was no extension of the tumor into the anterior cranial fossa (Fig 1). Due to the accessibility of the mass anteriorly a punch biopsy was taken which caused profuse bleeding that was controlled with anterior nasal packing. The pack was removed after 24 hours.
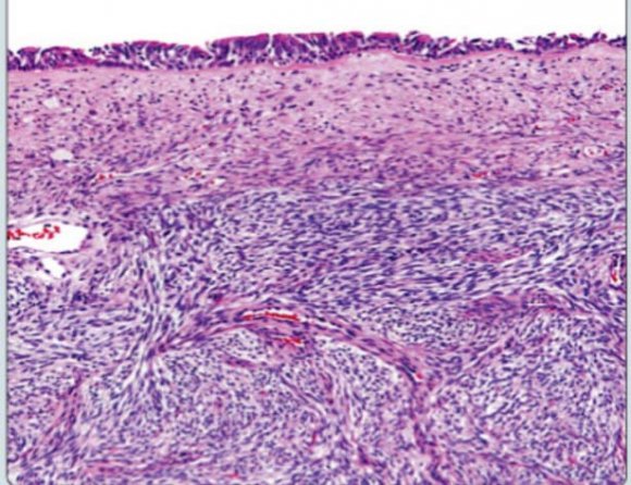
Histopathological examination of the biopsy showed features of juvenile angiofibroma, rarity of such tumors in a female prompted us to have slides reviewed, which was reported the same.
The patient was prepared for surgery and a request for angiography and embolization was sent, the report of angiography was reported as no definitive feeding vessel was found. Endoscopic excision was done. A firm large pinkish mass was found arising from the lateral wall of the nose in the anterior ethmoidal region, which was in sharp contrast to its origin from the sphenopalatine area. Then, the tumor was mobilized and removed en-bloc by avulsing it from its attachment laterally (Fig 2). During the operation, there was bleeding that was controlled by anterior and posterior nasal packing, which was removed after 24 hours. The postoperative period of the patient was uneventful and the patient was discharged on the 5th postoperative day.
Histopathological examination result of specimen was initially reported as Angiofibroma. The rarity of angiofibroma in females and a doubt in certain slides compelled our chief pathologist to get specimens reviewed at Harvard Medical School and they diagnosed it as one of the rare and newly discovered entity i.e. Biphenotypic Sinonasal Sarcoma (SNS).
Sinonasal sarcoma (SNS) is a rare malignant tumor that forms in the nasal structures and it primarily affects women. This new form of cancer could pose surgical problems because it can spread throughout the entire face if not detected early.
While angiofibromas are uncommon fibrovascular tumors almost exclusively arising from the postnasal space in young adolescent males and are also referred as juvenile nasopharyngeal Angiofibromas. The tumor though benign is locally aggressive. The first recorded description of this fibrovascular tumor like lesion was by Chelius in 1847, however review of literature reveled that their removal was practiced by Hippocrates. 1 Since both tumors share the same anatomical area, this poses a great challenge in diagnosing them as the treatment plan and prognosis are quite different. Where sino-nasal sarcoma is a malignant disease as the tumor begins in the nasal structures and has the potential of spreading toward the rest of the face, typically in an outward fashion from each side of the nostrils. Whereas angiofibroma accounts for less than 0.5% of all the neoplasms of head and neck and occurs exclusively in adolescent males, however the disease can occur in females though very rare.1,2
Although few cases of SNS have been reported in females. The research on this cancer began in 2004, when two Mayo Clinic pathologists noticed something peculiar about a tumor sample they were examining. They began collecting more data on the cancer in 2009 after they had seen in a few more times. By 2012 they published their discovery.
IV.
While Biphenotypic Sino-nasal sarcoma is a very rare and newly diagnosed entity it should be kept in mind while dealing with any suspicious nasal masses in patients especially in females. Early detection and Complete excision is the key in the management of this rare disease. Although being malignant, the prognosis is relatively good. In our patient, there was no recurrence at 2 years follow up. Nevertheless, she still needs more follow up in the future and more data needs to be collected in such cases to understand this rare malignant tumor better.
No conflict of interest to declare by any of the authors.
None.
Written informed consent was obtained from the patient for publication of this case report and accompanying images. A copy of the written consent is available and can be reproduced whenever needed.
All procedures performed in studies involving human participants were in accordance with the ethical standards of the institution.




First Evidence of genetic Imbalances in angiofibroma. Laryngoscope February 2002. 112 p. .
Nasopharyngeal angiofibroma in an elderly woman. Am J Otolaryngol 2005 May-Jun, 26. (3) p. .
The SCARE Statement: Consensus-based surgical case report guidelines. International Journal of Surgery 2016.
Unusual presentation of nasopharyngeal (juvenile) angiofibroma in a 45 year old female. Indian J Dent Res 2004 Oct-Dec, 15. (4) p. .