eningioangiomatosisis a rare disease of the central nervous system. It is non-neoplastic and may or may not be associated with meningiomas. It is a generally spontaneous (not associated with neurofibromatosis) hamartoma type, most frequently affecting the frontal and parietal lobes as a single lesion among young people with convulsive syndromes that are refractory to medical treatment. Few cases are associated with cortical dysplasia.
The variability of meningioangiomatosis is recognized in images and spectroscopic studies. The fundamental method of treatment is surgery for the control of convulsive syndrome and the histopathological diagnosis.
A nine-year-old boy without history of neurofibromatosis whose symptoms began with episodes of unstable gait associated with dizziness that lasted a few seconds at a time. These episodes became more frequent with the passing of the weeks and took on the characteristics of convulsive crises consisting of tonic extension with pronation of the upper limbs, rightward head and eye deviation, clonic facial movements, loss of consciousness associated with cyanosis, and sialorrhea without relaxation of sphincters.
Telemetric video and magnetic resonance show epilepsy initiating in the left hemisphere with parietal epileptogenic zone in relation to hypo-intense media lesion in T1 (Figure 1 a), hyper-intense in T2 (Figure 1 b), hypo-intense in FLAIR (Fluid attenuation inversion recovery) (Figure 1 c) with an anomaly in the configuration of cerebral tissue, without signs of bleeding, enhanced by the administration of contrast (Figure 1 d) leading to a consideration of low grade glial lesion as a possible diagnosis, for which reason magnetic resonance spectroscopy is used to complement the study, evidencing diminished N-acetylaspartate peak, increased myoinositol with inverted lactate peak (Figure 1 e, f) suggesting meningioangiomatosis associated with cortical dysplasia as opposed to oligodendroglioma.
Due to refractory response to anticonvulsant treatment consisting of oxcarbazepine every 12 hours oral (37 mg / kg / día), levetiracetam every 12 hours oral (57 mg / kg / día) and topiramate every eight hours oral (8 mg / kg / día), a sterotaxically-guided resection of left parietal cortical-sub-cortical lesion was considered.
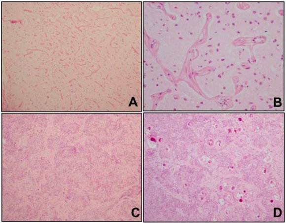
The histo-pathological study showed loss of formation of the laminae of the neuronal population with numerous vascular channels (arterial) throughout the sample of cerebral cortex. A proliferation of arachnoid cells with ill-defined cytoplasmic borders that showed whorling around the vascular channels and numerous psammoma bodies was apparent at the corticalsub -cortical boundary. The study with EMA (epithelial membrane antigen) y progesterone was negative with a Ki-67 (MK167) cellular proliferation index of under 1%, for which reason it was concluded that this was a case of cortical meningioangiomatosis associated with focal cortical dysplasia classified by the ILAE as Taylor type IIIc.
The patient was crisis-free in postoperative follow-up, At this time there are few descriptions of cases of spontaneous meningioangiomatosis with cortical dysplasia entailing epilepsy that is difficult to manage and refractory to medical treatment among persons between 3 and 30 years of age (1)(2)(3)(4). Findings of imaging studies show single lesions mostly located in the frontal or parietal lobe, shown by histo-pathological study to display a proliferation meningothelial cells and vascular channels in the cortical / sub-cortical region associated with enlarged neurones disorganized in their dispersion: changes compatible with focal cortical dysplasia classified by the ILAE as Taylor type IIIc (International League against Epilepsy) (1-3).
Since its description in 1915 as an incidental finding in the autopsy of a patient with type 2 neurofibromatosis (4), spontaneous meningioangiomatosis has been described as a benign hamartomatous pathology that may or may not be associated with meningiomas (9, 10), an uncommon finding that affects the leptomeninges, the cerebral cortex, and less commonly the thalamus or the brainstem, principally manifesting with untreatable epilepsies in more than 80% of cases (4, 8, 10). Despite not clearly understanding the epileptogenic mechanism, the perilesional or extra lesional cortex are understood to be ictal onset zones as documented in intra-operative electro-corticographic studies that facilitate planning for surgical treatment (1).
Although findings from imaging studies are variable, single lesions with calcification are commonly observed in tomography studies, as are signal alterations in magnetic resonance that are consistent with hypo-intensity in T1, hyper-intensity in T2 and the FLAIR, and enhancements with the administration of contrast in T1 (5,6): despite the high resolution images, it is difficult at this time to identify the presence of focal cortical dysplasia type IIIc associated with MA in preoperative studies (1). Magnetic resonance spectroscopy in the analysis of the spectrum of metabolites describes increased elevation of choline peak (cho) with a reduction of N-acetylaspartate peak (NAA), which is related to a cellular proliferation presumed to derive from meningothelial cells and/or fibroblasts around blood vessels in the cortex, which are associated with studies by positron emission tomography (PET) documenting focal hypermetabolism which may be suggested as a differential diagnosis MA (7). The principle differential diagnoses are low grade gliomas, arteriovenous malformations, and invasive malignant meningioma (4).
Despite its low frequency, the impact on the patient's quality of life due to resistance to anticonvulsant treatment makes surgical treatment key to controlling convulsive syndrome and the histopathological diagnosis, recognizing the importance of intra-operative electro-corticography for identifying the ictal onset zones for successful treatment of this disease (1), given that according to the literature only in 43% of cases do convulsions disappear in the long term (4,8).


All authors declare that they have no conflict of interest.
The publication of this article is subject to authorization by the parents of the patient.
Uni epilepsia Service for their valuable collaboration.
Meningioangiomatosis associated with focal cortical dysplasia and neurofibrillary tangles. Clinical Neuropathology 2013 (1) p. .
Imaging and spectroscopic findings in meningioangiomatosis. Pediatric Blood Cancer 2009. 53 (4) p. .
Sporadic meningioangiomatosis with and without meningioma: analysis of clinical differences and risk factors for poor seizure outcomes. Acta Neurochir 2015 (5) p. 53.
Focal cortical dysplasia in meningioangiomatosis. Clinical Neuropathology 2015. 34 (2) p. .
Cerebral meningioangiomatosis: MRI and MRS findings. Acta Neurochir 2000. (7) p. .
ILAE focal cortical dysplasia type IIIc in the ictal onset zone in epileptic patients with solitary meningioangiomatosis. Epileptic Disorders 2014 (4) p. .
Sporadic meningioangiomatosis -associated atypical meningioma mimicking parenchymal invasion of brain: a case report and review of the literature. Diagnostic Pathology 2010. p. 39.