esorption is defined as a condition associated with either a physiologic or a pathologic process resulting in loss of dentin, cementum or bone. 1 Andreasen has classified tooth resorption as Internal (Inflammatory, Replacement) and External (Surface, Inflammatory and Replacement). 2 Internal resorption is an inflammation process initiated within the pulp space with the progressive destruction of intraradicular dentin and dentinal tubules along the middle and apical thirds of the canal walls as a result of clastic activities. 2 The various etiological factors for internal root resorption are traumatic injury (i.e. thermal chemical mechanical) infection and orthodontic treatment. 3 It caused by transformation of normal pulp tissue into granulomatous tissue with giant cells, which resorbs the dentinal walls, advancing from the center to the periphery. 4 Resorption occurs in two stages: Degradation of the inorganic mineral structure followed by disintegration of the organic matrix. 5 Internal inflammatory resorption involves progressive loss of dentin, whereas root canal replacement resorption involves subsequent deposition of hard tissue that resembles bone or cementum but not dentin. 6 Radiographically, the IIR displays a clear, the IRR cases, an irregular enlargement of the root canal with the radiological appearances of a fuzzy material resembling the bone tissue might be observed. 7 Internal inflammatory resorption can be perforating or nonperforating root resorption.
Clinically, the condition is usually asymptomatic, however, it may include the presence of a reddish areapink spot, which represents the granulation tissue showing through the resorbed area. Radiographs are mandatory for diagnosing internal resorption, which reveals a round-to-oval radiolucent enlargement of the pulp space. The margins are smooth and clearly defined with distortion of the original root canal outline. 2,3 Various materials available for the treatment of internal root resorption include MTA, glass ionomer cement, Super EBA, hydrophilic plastic polymer (2hydroxyethyl methacrylate with barium salts), zinc oxide eugenol and zinc acetate cement, amalgam alloy, composite resin and thermo plasticized gutta-percha administered either by injection or condensation techniques. 8 This case series reports a different method for the management of internal root resorption which showed a favorable prognosis due to appropriate choice of endodontic treatment followed by prosthesis.
A 20 year-old male patient sought to a private practice with a chief complaint for discoloration and dull pain in maxillary anterior teeth region since 1 year. Clinical examination reveals non vital response of 11, 21. Radio graphically, maxillary left central incisor showed the radiolucency in the middle third of the root surface indicating of internal resoprtion (figure 1). The patient reports he did not remember trauma history in the same region. It was decided to complete the endodontic therapy for 11, 21.
After rubber dam isolation (Hygiene Dental Dam, Coltene Whaledent Germany) access cavity was initiated without local anesthesia as teeth were non vital. Working length was determined using apex locator (Root ZX II, Morita Tokyo, Japan) (figure 2). Biomechanical preparation was done using hand stainless steel file till 70K wrt 11 and 21 along with the copious irrigation with 5.25% sodium hypochlorite. An intracanal medicament dressing of calcium hydroxide was given and access opening was sealed with the cavit cement.
After 7 days patient was recalled for the renewal of calcium hydroxide dressing and again cavity was sealed. During the third visit the canal was irrigated with 17% EDTA and mastercone radiograph was taken (figure 3) and the portion of the canal below the resorptive defect was obturated with gutta percha (Dentsply, Maillefier Germany) and A H plus sealer (Dentsply, Maillefier Germany) using sectional condensation technique and the remaining canal was obturated with thermoplastized gutta percha technique (figure 4).
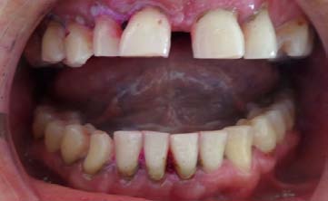
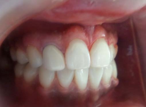
After post obtuaration restoration, crown preparation was done and PFM crown placed. During the first visit after isolation was done using rubber dam (Hygiene Dental Dam, Coltene Whaledent, Germany). A cavity was prepared and working length was determined using apex locator (Root ZX II, Morita Tokyo, Japan) (figure 6). Biomechanical preparation was done using hand stainless steel file till 70K wrt 21 and till 50K wrt 22 along with the copious irrigation with 5.25% sodium hypochlorite. An intracanal medicament dressing of calcium hydroxide was given and the tooth was sealed with provisional material.
After 7 days the intracanal dressing was changed for another obtaining by mixing calcium hydroxide powder and tooth was sealed. On third visit the intracanal dressing was removed and the canal was irrigated with 17% EDTA and master cone radiograph was taken (figure 7). 21 was obturated with the lateral cold compaction technique and the portion of the canal below the resorptive defect was obturated with gutta percha (Dentsply, Maillefier Germany) and A H plus sealer (Dentsply, Maillefier Germany) using sectional condensation technique and the remaining canal was obturated with thermoplastized gutta percha technique. Then final restoration with composite was done followed with prosthesis (figure 8). In 21 root canal treatment was started with straight line access, working length was determined using radiograph(figure 10) and bleeding point was check using paper point. Biomechanical was done till 80K stainless steel file under copious irrigation with saline. Calcium hydroxide intracanal medicament was place for 2 week and cavity was sealed with temporary material. Following copious irrigation with 5% sodium hypochlorite, calcium hydroxide powder mix was renewed after a week.
Calcium hydroxide was renewed two times in 2 mon due to the exudation into the canal. At the 3 mon visit, white MTA (ProRoot MTA, Dentsply, TN, US) was prepared according to the manufacturer's recommendations and filled incrementally to the canal orifice with vertical condensation using the pluggers. Intraoperative radiographies revealed that MTA filled the canal and the resorption defect. A wet cotton pellet was put on the MTA, and the cavity was sealed with the temporary restorative material. After 7 days, the cavity was restored using a composite resin (figure11) filling (Supreme, 3M ESPE, Dental Products, MN, USA) and PFM crown was placed.
Internal resorption is undoubtedly an endodontic challenge, especially, if the resorptive area is extensive and perforating. When diagnosed, immediate removal of the causative agent must be considered, aiming to arrest the cellular activity responsible for the resorptive activity. 9 There is always a dilemma of whether to treat a tooth with a questionable prognosis endodontically or extract it and subsequently place an implant. Bell first reported a case on internal resorption in 1830. 10 Since then there have been numerous reports in the literature. It is a multifactorial process associated with various factors, which may be categorized into physiological resorption, local factors, systemic condition and idiopathic resorption. A combination of hand instrumentation and irrigation was performed in all the teeth. Sodium hypochlorite is the most commonly used irrigant during root canal treatment due to its tissue dissolving and broad antimicrobial properties. 7 The intracanal dressing used was the calcium hydroxide because of its main anti-inflammatory, antibacterial actions, solvent of organic matter, neutralizing toxins, and stimulation of the repair of calcified tissue. 11 Calcium hydroxide has also been shown to have a synergistic effect when used in conjunction with sodium hypochlorite to remove organic debris from the root canal. 12 In this case report I and II, the extensive loss of tooth structure and the clastic non perforating internal root resorption was successfully managed by warm vertical condensation technique followed by thermo plasticized gutta-percha technique.
Another material that has properties well described in the literature, but has not been used frequently in the repair treatment of internal root resorption, is the mineral trioxide aggregate (MTA). MTA is a commonly used material for perforation repair, because it has many favorable properties such as a good seal ability, biocompatibility, radiopacity and moisture resistance. 13 In case series III MTA was used as an obturating material followed by permanent restoration. MTA was shown to allow proliferation of periodontal cells and cement oblast over itself in animal and cell culture studies.
IV.
Early diagnosis, removal of the cause, proper treatment of the resorbed root is mandatory for successful treatment outcome. Internal resorption is an uncommon resorption of the tooth, which starts from the root canal and destroys the surrounding tooth structure. It is easy to control the process of internal root resorption via severing the blood supply to the resorbing tissues with conventional root canal therapy. Regular recall is important to check the status of healing and for the overall prognosis of the tooth.






Method to evaluate inflammatory root resorption by using cone beam computed tomography. J Endod 2009. 35 (11) p. .
Apical internal inflammatory root resorptionand open apex treated with MTA: a case report. Rev Odonto Ciên 2010. 25 (2) p. .
Double 'pinktooth' associated with extensive internal root resorption after orthodontic treatment: A case report. Dent Traumatol 2009. 25 p. .
Root resorption-etiology, terminology and clinicalmanifestations. Endod Dent Traumatol 1988. 4 p. .
Tooth resorption part I-pathogenesisand case series of internal resorption. J Conserv Dent 2013. 16 p. .
Longitudinal study of clinical-radiographic success of teeth treated with calcium hydroxide intracanaldressing. Rev Odontol UNESP 2012. 41 (6) p. .
Root resorption due to dentaltrauma. Endod Topics2002. 1 (1) p. .
The effects ofsodium hypochlorite and calcium hydroxide ontissue dissolution and root canal cleanliness. Int Endod J 1997. 1997. 30 (5) p. .
Tooth resorption. QuintessenceInt 1999. 30 p. .
Internal resorption: A review and case report. Endodontology 2010. 22 (1) p. .
Internal root resorption: A review. J Endod 2010. 36 p. .