he exact etiology of OSMF is not well understood. Multiple factors such as genetic, autoimmune, nutritional and environmental are being studied. Among the environmental agents different oral habits like intake of spicy food, chewing of betel nut, betel quid and other preparations are included. Amongst these arecanut is confirmed as the main etiological factor . [1] These factors are known to have either a direct effect or indirect effect by mediating the immune system which is compromised in OSMF. [1] Pathogenesis is believed to involve juxtaepithelial inflammatory reaction and fibrosis in the oral mucosa, probably due to an increased cross linking of collagen through an increase in lysyl oxidase activity. Fibrosis, or the building up of collagen, results from the effects of areca nut, which increases collagen production (e.g., stimulated by arecoline, an alkaloid) and decreases collagen degradation . [2], [3] Copper, present in arecanut plays an important role in pathogenesis of OSMF. The enzyme lysyl oxidase is a copper activated enzyme critical for collagen cross linking. Copper is absorbed into the epithelial cells occurs probably by a non-energy dependent diffusion. Numerous factors influence the bioavailability and subsequent absorption of copper by the oral mucosa. In Indians, the practice of drinking water stored in copper vessels for health benefits is being followed since ages. The present study was being conducted to study the effect of this age old habit as a cause for predisposing Indian population to OSMF.
Exfoliative cytology was performed using cytobrush from buccal mucosal site. The participants were asked to rinse their mouth before smears were prepared. The prepared smears were transferred on the glass slides and were fixed using alcohol based fixative. The slide was stained for light microscopy with Rhodanine (Lindquist method 1969) [4] .
Additional smears were prepared from control group. The smears were kept overnight in supersaturated copper sulphate solution and were used as positive controls. The following groups were taken: Group 1: Control group (n=10) i.e. individuals with no chewing habit and normal oral mucosa.
Group 2: Study group (n=10) consisting of individuals consuming water stored in copper vessel without any history of areca nut consumption. It was further divided into two sub groups depending on the duration of consuming water stored in copper vessel a) n=5, Individuals consuming vessel stored water throughout the day b) n=5, Individuals consuming water stored in vessel for overnight Group 3: Subjects clinically diagnosed as Oral Submucous Fibrosis (n=10)
The whole smear was evaluated in a zig zag manner under 400x and 1000 cells per slide were evaluated for the presence of staining. For interobserver variability 3 persons randomly observed the slides and divided them into three groups depending on staining intensity as no stain, intermediate staining and intense staining.
Z test was performed to compare the staining intensity amongst OSMF patients and copper vessel water consuming subjects. Also a comparison between the staining intensity of subjects consuming water stored in copper vessel throughout the day and subjects consuming water stored overnight (once a day) was done.
IV.
People consuming copper vessel stored water revealed staining comparable to that of OSMF patients. The majority of squames in both the groups revealed presence of copper granules. The results obtained were found to be statistically significant with a p value of 0.02. (Table 1) z test was performed and p < 0.05 was considered to be significant People consuming copper vessel stored water throughout the day revealed dark red staining in majority of squames than the ones consuming water once a day.
The results obtained were statistically highly significant with a p value < 0.0006 (Table 2). z test was performed and the results were found to be highly significant V.
An epidemiological survey done have shown an increase in number in India from 250000 cases reported in 1980 to 2 million cases in 1993. [5] The epidemiological assessment of the prevalence of OSF among Indian villagers, based on baseline data, recorded a prevalence of 0.2% (n 10,071) in Gujarat, 0.4% (n 10,287) in Kerala, 0.04% (n 10,169) in Andhra Pradesh, and 0.07% (n 20,388) in Bihar. The prevalence among 101,761 villagers in the state of Maharashtra (central India) was 0.03%. [2] A study of Moradabad district (Nigam et al, 2014) [6] showed a prevalence rate of 6.3% while in a study of rural Jaipur population (Rohit Sharma et al, 2012) [7] showed prevalence rate of 3.39%. The variation can be due to difference in the availability of different products.
Hypersensitivity to chili or betel quid is explained as a common factor in OSMF development. However, its development is very rare in people of Mexico and South America even though their intake of chilies is equal to or even exceeds from people of India or south East Asia. Thus a genetic perspective is considered vital to explain this condition. Almost all carcinogenic agents, whether physical (radiation), chemical, or infectious (viruses), act as mutagens. They change the structure of the genetic material, producing point mutations, deletions, insertions, or rearrangement. Copper increases absorption of lysyl oxidase in oral submucous fibrosis patients that causes cross linking of collagen and makes it resistant to digestion by collagenase enzyme. Thus it could be stated that an increase in lysyl oxidase activity leads to accumulation of collagen [8] .
According to Rajendran et al 2001 [9] OSMF is believed to be a localized lesion of fibrosis in that part of the oral mucosa that had localized contact of copper, however visceral organ fibrosis was not evident. The bioavailability of copper and its absorption in the oral mucosa is influenced by numerous factors. Some of these include presence of amino acids, dietary fats, carbohydrates, mineral elements, pH of oral environment.
However the exact mechanism through which copper is absorbed by the cells of the oral mucosa is not properly known. In some literature role of membrane bound copper transporting adenosine triphosphates is evident and mentioned at cellular level. [10] It is evident that copper binding sites form an extended polypeptide chain at the amino terminus of the transmembrane domain that regulates its absorption. The reason for accumulation of copper by cells are explained by the extracellular presence of tripeptide glycyl-L-histidyl-Llysine (GHL), where the first two residues of the GHL molecule are involved in the binding of copper, whereas the side chain of lysine may be involved in the recognition of receptors that function in the uptake of copper into cells. This tripeptide may be liberated within the lamina propria of areca chewers during the initial inflammatory phase of OSMF. [11] Interleukin -1 beta which has been shown to potentiate collagen synthesis in vitro is another important regulator of fibrosis that participates in the mediation of OSMF. Any interaction of copper with other agents in the nut, such as arecoline, and mediators of inflammation, such as cytokines, need further study.
Since ancient times Ayurveda has advocated the benefits of drinking water from a copper vessel. Ayurveda states that when you store water in a copper vessel it has the ability to balance all the three doshas in our body. Scientifically speaking, when water is stored in a copper vessel for over eight hours, very small quantities of copper get dissolved in this water. This process is called "oligodynamic effect" and has the ability to destroy a wide range of harmful microbes, molds, fungi etc. due to the toxic effect it has on living cells.
Modified Rhodamine stain is a copper specific stain and histologically demonstrates copper in the tissues. [12] Comparision of different histochemical staining methods has shown modified Rhodamine technique to be the method of choice for the detection of copper. [13] Copper appears red to orange-red stain and the nucleus was stained blue. [4] Irons RD et al have concluded that the Rhodamine method was found to produce the most reproducible results and a linear relationship between microscopical evaluation of the stain and actual tissue copper levels was observed. They considered that the Rhodamine method is applicable for the semiquantitative evaluation of tissue copper and provides a satisfactory screening method for the identification of abnormal tissue copper levels. They observed that a minimum of 60 g of copper per gram of tissue has to be present for cytochemical identification of copper using Rhodamine staining technique. [14] Copper is widely used in household plumbing materials. It is also enters the water ("leaches") through contact with the plumbing. Copper leaches into water through corrosion. Copper can leach into water primarily from pipes, but fixtures and faucets (brass), and fittings can also be a source. The amount of copper in water also depends on the types and amounts of minerals in the water, how long the water stays in the pipes, the amount of wear in the pipes, the water's acidity and its temperature. Safety of leached copper does not appear to be an issue since studies have shown that the current WHO guideline of 2 mg Cu/L is safe. [15,16] Arakeri G et al (2014) [17] conducted a study to evaluate that OSMF was significantly associated with a raised concentration of copper in drinking water. The study was carried out in a heterogeneous population in Hyderabad-Karnataka, India, a region with a high incidence of the condition. They evaluated 3 groups, each of 100 patients: those with OSMF who chewed gutkha, those who chewed gutkha but did not have OSMF, and healthy controls who did not chew gutkha. The difference between the groups in the mean concentration of copper in water measured by atomic absorption spectrometry was significant (p<0.001). There were also significant differences between the groups in mean concentrations of serum copper, salivary copper, and ceruloplasmin (p<0.001). The results confirm that copper in drinking water contributes to the pathogenesis of OSMF, but ingestion of copper is unlikely to be the sole cause.
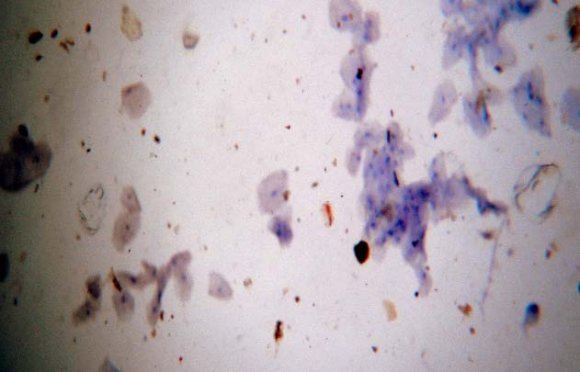
In the present study a comparison between normal subjects, copper vessel stored water consuming and OSMF subjects showed difference in the no of squames showing positive staining. The normal subjects showed no staining (Fig1). Subjects consuming copper vessel stored water throughout the day and those consuming water stored overnight showed difference in the staining intensity (Fig 2, 3). People consuming copper vessel stored water throughout the day showed majority of squames showing dark red staining than the ones consuming water once a day(Fig4). The OSMF patients also showed positive staining but the staining was comparable with that of copper vessel subjects ( In mammals, copper can be absorbed from the stomach to the distal small intestine. A critical component of copper gastrointestinal balance involves enterohepatic circulation. At least one-half of the amount of copper reaching the small intestine reappears in the bile as strongly bound compounds, and is lost in the stool. The distribution of copper throughout the body is mediated by ceruloplasmin, albumin, and other quantitatively less important copper binders. [18] Copper added to cooked foods with high protein contents, such as chicken liver or chick peas, was more poorly absorbed by rats than copper supplied from other vegetable and animal sources. [19] A study was conducted by Janet R Hunt(2001) [20] that showed that although copper was less efficiently absorbed from a vegetarian diet than from a nonvegetarian diet, the total apparent copper absorption was greater from the vegetarian diet because of its greater copper content.
Storing water in copper and silver pots finds mention in ancient texts of Ayurveda for purification of water. [21] A study conducted by Sudha et al (2009) [22] provided laboratory evidence of the antibacterial activity of copper pot in distilled water.
In India, copper is used as a cost effective and traditional method of disinfecting water. It is also used Fig. 4 because of its health benefits mentioned in the Vedas. This age old habit of consuming copper vessel stored water is still being practiced. The present study findings suggest that the inadvertent use of this age old habit has led to the predisposition of Indians to OSMF. Moreover majority of the Indian population is vegetarian in diet that makes higher copper bioavalability as compared to those having a non-vegetarian diet.
All these factors may be helpful to some extent in providing an explanation to the fact that why OSMF is more prevalent in Indian population. Although further research with a large sample size is needed to prove this hypothesis.




| Groups | Mean | sd | p value |
| Copper vessel | 677.1 | 283.92 | |
| 0.02(S) | |||
| OSMF | 628 | 226.9 |
| Groups | Mean | sd | p value |
| A (consumed throughout the day) | 848.2 | 506 | 0.0006 |
| B (once a day) | 138.236 | 298.46 |
Copper content in Areca catechu (betel nut) products and oral submucous fibrosis. Lancet 1997. 349 (9063) p. 1447.
Copper stimulates human oral fibroblasts in vitro: a role in the pathogenesis of oral submucous fibrosis. Journal of oral pathology & medicine 2001. 30 (8) p. .
In vivo stimulation of connective tissue accumulation by the tripeptide-copper complex glycyl-L-histidyl-L-lysine-Cu2+ in rat experimental wounds. Journal of Clinical Investigation 1993. 92 (5) p. 2368.
Role of drinking water copper in pathogenesis of oral submucous fibrosis: a prospective case control study. British Journal of Oral and Maxillofacial Surgery 2014. 52 (6) p. .
Community-based randomized doubleblind study of gastrointestinal effects and copper exposure in drinking water. Environmental health perspectives 2004. 112 (10) p. 1068.
Oral submucous fibrosis: Current concepts in etioathogenesis. People? s. J Sci Res 2008. 1 p. .
Copper absorption and excretion measured by two methods in rats fed varying concentrations of dietary copper. J Trace Elements Exp Med 1988. 1 p. .
Estimation and Comparison of Copper Content in Raw Areca Nuts and Commercial Areca Nut Products: Implications in Increasing Prevalence of Oral Submucous Fibrosis (OSMF). Journal of clinical and diagnostic research: JCDR 2014. 8 (1) p. 247.
Varanasi: Chaukamba Visva Bharati. Sutra Sthana 2004. 1 p. 418.
Copper in drinking water: not a strong risk factor for diarrhoea among young children. A population-based study from Sweden. Acta Paediatrica 2003. 92 (4) p. .
Pathogenesis of oral submucous fibrosis. Relationship to risk factors associated with oral cancer. Cancer 1992. 69 (8) p. .
Prevalence of oral Submucous fibrosis in patients visiting Dental college in Rural area of Jaipur. Rajasthan. J Indian Aca Oral Med Radiol 2012. 24 (1) p. .
Histological demonstration of copper and copper-associated protein in chronic liver disease. J C lin Pathol (8) p. .
Comparison of three histochemical staining methods for the detection of copper in white perch (Morone americana) with abnormal hepatic copper storage. J Comp Pathol