iver is an important organ of body, which performs the function of detoxifying all substances, which are ingested by humans; therefore, hepatic cells are most susceptible to damage by metabolites of various allopathic drugs. These drugs cause significant hepatic damage due to formation of highly toxic metabolites. The liver aids greatly in the maintenance of metabolic homeostasis by processing dietary amino acids, carbohydrates, lipids, and vitamins; metabolizing cholesterol and toxins; producing clotting factors; and storing glycogen. Injury to the liver parenchyma associated with an influx of acute or chronic inflammatory cells is termed hepatitis. Cirrhosis refers to a progressive, diffuse, fibrotic, nodular condition that disrupts the entire normal architecture of the liver. 1,2 Fibrosis previously was thought to be an irreversible scarring process formed in response to inflammation or direct toxic insult to the liver, but current evidence suggests that fibrosis may be reversible in some patients with chronic hepatitis B after antiretroviral therapy. 3 Liver cirrhosis is one of the most representative forms of liver fibrosis and represents a serious health problem. Recently, transplantation of bone marrowderived cells including mesenchymal stem cells was reported to reduce carbon tetrachloride (CCl ) -induced liver fibrosis [4][5][6][7][8] , while fetal liver epithelial progenitor cells have also been shown to ameliorate diethyl nitrosamineinduced liver fibrosis. 9 A stem cell is an undifferentiated cell capable of renewing itself throughout its life and of generating one or more types of differentiated cells. While embryonic stem cells (ESCs) are the only ones to be totipotential, adult tissues with high cellular turnover (e.g. skin, gut mucosa and bone marrow) retain a population of stem cells with restricted differentiation potential that constantly supply the tissue with new cells. of rat undifferentiated embryonic stem (ES) cells against carbon tetrachloride (CCl ) induced liver damage in rats and determine their ability to differentiate into hepatocytes in the liver.
Methods : Liver injury was produced by administration of CCl mixed with liquid paraffin. Liver injury induced by administration of CCl 0.5 mL /kg body weight, was injected into the peritoneum of rat twice a week for 2 weeks. Control animals received an equal volume of liquid paraffin. The dose of Embryonic Stem (ES) cells for the treatment damaged liver of rats was calculated according to the cell viability count and suspension was administered through intraperitonial route, 1 x 10 undifferentiated ES cells (0.1 m L of 1 x 10 cells/mL solution), genetically labeled with GFP, were transplanted into the spleens 1 d after the second injection. The Reparative capacity of Rat Embryonic Stem cells was analyzed in liver injured CCl4-treated male rats. Biochemical parameters including like AST and ALT, ALP and Bilirubin and total protein in serum were analyzed. The biochemical findings were supplemented with histopathological examination of rat liver sections.
Results : There was a significant increase in serum levels of AST and ALT, ALP and Bilirubin with adecrease in total protein level in the CCl treatedanimals, reflecting liver injury. In the undifferentiated embryonic stem cell treated animals there was a decrease in serum levels of the markers and significant increase in total protein, indicating the recovery of hepatic cells. Histological study of Es treated animals revealed normal hepatic cords without any cellular necrosis and fatty infiltration.
hepatoprotective activity in rats with CCl4-induced liver damage compared with serum marker enzyme activity. Further the results are supported embryonic stem cells developed into hepatocytes-like cells with appropriate integration to form tissue. Embryonic stem (ES) cells are self-renewing and multi-potent cells derived from the inner cell masses of preimplantation blastocysts 10,11 , and have many characteristics of an optimal cell source for cell replacement therapy. Theoretically, ES cells are able to be produced limitlessly, and various kinds of cell-types have been generated in vitro and in vivo. Thus, ES cells are considered to have potential to become an optimal cell Source for cell-replacement therapy.
End stage liver disease (ESLD) is the final stage of acute or chronic liver damage and is irreversibly associated with liver failure. ESLD can develop rapidly, over days or weeks (acute and sub-acute liver failure, respectively), or gradually, over months or years (chronic liver failure 12. Currently, liver transplantation is the most effective therapy for patients with ESLD 13. However, its potential benefits are hampered by many drawbacks, such as the relative shortage of donors, operative risk, post-transplant rejection, recidivism of the pre-existing liver disease, and high costs.
In this scenario, stem cell therapy sounds particularly attractive for its potential to support tissue regeneration requiring minimally invasive procedures with few complications. This field of research, which represents the ground from which the new discipline of "regenerative medicine" has germinated, has rapidly developed in recent years, arising great interest among scientists and physicians, and frequently appearing in newspapers headlines touting miracle cures, but arising ethical crises as well 14 . The most debated issue pertains to the use of human ESCs, as it implies, with current technologies, the destruction of human embryos. Opponents of ESC research argue that ESC research represents a slippery slope to reproductive cloning, and can fundamentally devalue human life. Contrarily, supporters argue that such research should be pursued because the resultant treatments could have significant medical potential. It is also noted that excess embryos created for in vitro fertilization could be donated with consent and used for the research 15 . The in vitro capability of ES cells to differentiate into hepatocytes like cells has also been proven by other investigators 16 . In general, the methods used in those studies can be divided into spontaneous and directed differentiation. For spontaneous differentiation, the formation of embryoid bodies (EBs) has been mostly utilized 17 . With directed differentiation, different processes of enrichment of a specific differentiated cell type that use elements to promote the differentiation of ES cells into an endodermal lineage, such as the addition of growth factors (GFs) and hormones 18 , and the constitutive expression of hepatic transcription factors 19 , have been utilized.
In the present study the regenerative effect of rat undifferentiated embryonic stem (ES) cells against carbon tetrachloride (CCl ) induced liver damage in rats and determines their ability to differentiate into hepatocytes in the liver. Rat undifferentiated embryonic stem (ES) cells showed significant hepatoprotective activity in rats with CCl -induced liver damage as judged from serum marker enzyme activity. Further the results are supported as Undifferentiated ES cells developed into hepatocytes-like cells with appropriate integration into Tissue.
Materials and Methods a) Materials i. Animals
Wister rats weighing 175-200 g were obtained from the animal house of Deccan College of Medical Sciences, Hyderabad and housed in polycarbonate cages. The rats had free access to standard pellet chow and water ad libitum throughout the experiment with the exception of some experiments in which the animals were deprived of food, but not water, for 18-24 h before the experiments were performed. After procurement, all the animals were divided into different groups and were left for one week for acclimatization to experimentation room and were maintained on standard conditions (23 c, 60-70 % relative humidity and 12 h photo period). All experimental protocols described below were approved by the ethical board.
ii. Hepatotoxin a. CCl treatment Chemically induced hepatic injury for experimental studies should be severe enough to cause cell death or to modify hepatic functions. The mechanism of acute hepatic injury depends upon the chemical compound and the species of animals used. CCl is one of the most powerful hepatotoxin in terms of severity of injury. It causes toxic necrosis leading to biochemical changes having clinical features similar to those of acute viral hepatitis 20,21 . Liver injury was produced by administration of CCl mixed with liquid paraffin. Animals were given dose of CCl , 0.5 mL /kg body weight, was injected into the peritoneum of rat twice a week for 2 wk throughout the experimental setup. Control animals received an equal volume of liquid paraffin.
Induction of estrus: if males and females are housed separately, when they are put together for mating, estrus will be induced in the female 3 days later, when the maximum number of successful mating will occur. This process enables the planned production of embryos at the appropriate time. The timing of successful mating may be determined by examining the disaggregated embryo is around 13 days, when the embryo is relatively large but still contains a high proportion of undifferentiated mesenchyme, which is the main source of the culture. Most individual organs, with exception of brain and heart, begin to form at about ninth day of gestation, but are difficult to isolate until about the 11 day. Dissection is easier at 13 -14 day and most of the organs are completely formed by the 18 day. Sacrifice the mouse by cervical dislocation and swab the ventral surface liberally with 70% alcohol.
Dissect out the uteri into a 25ml or 50ml screw capped tube containing 10 or 20 ml BSS. Antibiotics may be added to BSS when there is high risk of infection. Take the intact uteri to the tissue culture laboratory and transfer to a fresh dish of sterile DBSS.
Dissect out the embryos : Tear the uterus with two pairs of sterile forceps, keeping the points of forceps close together to avoid distorting the uterus and bringing too much pressure to bear on the embryos. Free the embryos from the membranes and the placenta and place them to one side of the dish to bleed. Transfer the embryos to a fresh dish. If a large number of embryos are required, it may be helpful to place the dish on ice. 22 i. Enzymatic Desegregation Cell-cell adhesion in tissues is mediated by a variety of homotypic interacting glycopeptides some of which are calcium dependent and hence are sensitive to chelating agents such as EDTA or EGTA. Integrins, which binds to RGD motif in extracellular matrix also have calcium binding domains and are affected by calcium depletion. Intercellular matrix and basement membrane also contain other glycoprotein, such as fibronectin and laminin, which are less so, and can sometimes be degraded by glycanases, such as hyaluronidase or heparinase. The easiest approach is to proceed from a simple desegregation solution to more complex solution with trypsin alone or trysin/EDTA as starting point, adding other proteases to improve desegregation, and deleting trypsin if necessary to increase viability. In general increase in purity of an enzyme will give better control and less toxicity with increases specificity but may result in less desegregation activity.
Mechanical and enzymatic desegregation of tissues avoids problems of selection by migration and yields a higher number of cells that are more representative of the whole tissue in a shorter time. However, just a primary -explants technique selects on the basis of cell migration, dissociation techniques select cells resistant to method of desegregation and still capable of attachment.
viable proliferating cell with increasing age is due to several factors, including the onset of differentiation, an increase in fibrous connective tissue and extracellular matrix, and a reduction of the undifferentiated proliferating cell pool. A procedure of greater severity is required to disaggregate with trypsin while still retaining viable carcinoma cells.
The choice of trypsin grade to use has always been difficult, as there are two opposing trends: i.
The purer the trypsin, the less toxic it becomes, and the more predictable its action. ii. The cruder the trypsin, the more effective it may be, due other proteases.
In practice, a preliminary test experiment may be necessary to determine the optimum grade for viable cell yield, as the balance between sensitivity to toxic effects and desegregation ability may be difficult to predict.
Crude trypsin is by far the most common enzyme used in tissue desegregation, as it is tolerated quite well by many cells, it is effective for many cells, it is effective for tissues, and any residual activity left after washing is neutralized by the serum of the culture medium or by a trypsin inhibitor when serum free medium is used. It is important to minimize the exposure of cells to active trypsin in order to preserve maximum viability. Hence, when whole tissue is being trypsinised at 37 c, disassociated centrifugation and neutralized with serum in medium. Soaking the tissue for 6-18hrs in trypsin at 4 c allows penetration with minimal tryptic activity, and digestion may then proceed for a much shorter time (20-30min) at 37 c. Although the cold trypsin method gives a higher yield of viable cell and requires less effort, the warm trypsin method is still used extensively.
Transfer the tissue to fresh Sterile DBSS in a 9cm Petri dish and rinse. Transfer the tissue to the second dish; dissect off unwanted tissue such as fat or necrotic material; and chop with crossed scalpels to about 3 mm cubes. Embryonic organs, if they do not exceed this size, are better left whole. a. Transfer the tissue with curved forceps to a 15-50 ml sterile centrifuge tube or universal container. Allow the pieces to settle.
Wash the tissue by re-suspending the pieces in BSS, allowing the pieces to settle and removing the supernatant fluid. Repeat this step two more times.
Remove most of the residual fluid and add 10 ml/tube/g of tissue of 0.25% trypsin at 4 c.
Place the mixture at 4 C for 6 -18hrs. Place the tube at 37 C for 20-30 min.
Embryonic tissue disperses more readily and gives a higher yield of proliferating cells than those new born or adult tissue. The increasing difficulty in obtaining Add warm medium, approximately 1 ml for every 100 mg of original tissue and gently pipette the mixture up and down until the tissue is completely dispersed.
If some tissues do not disperse, then the cell suspension may be filtered through sterile muslin or stainless steel mesh (100-200 microgram), or Falcon 70 mm "cell strainer (Becton Dickinson) or the larger pieces may simply be allowed to settle. When there is a lot of tissue, increasing the volume of suspending medium to 20 ml for each gram of tissue will facilitate settling and subsequent collection of supernatant fluid. Two to three minutes should be sufficient to get rid of most of the larger pieces.
Determine the cell concentration in the suspension by hemocytometer or electronic cell counter. And check viability. The cell population will be very heterogeneous; electronic cell counting will initially require confirmation with a hemocytometer, as calibration can be difficult.
Dilute cell suspension to 1 x 10 per ml in growth medium, and seed as many flasks as are required, with approximately 2x10 cells per cm when the survival rate is unknown or unpredictable, a cell count is of little value (e.g. in tumor biopsies, for which the proportion of necrotic cells may be high), in this case, set up a range of concentration from about 5-25 mg of tissue per ml.
Change the medium at regular intervals (2-4 days as detected by depression of ph.) check the supernatant for viable cells before discarding it as some cells can be slow to attach or may even prefer to proliferate in suspension.
The cold trypsin method gives a higher yield of viable cells with improved survival after 24h culture and preserves more different cell types than the warm method. Cultures form mouse embryos contain more epithelial cells when prepared by cold method, and elytroid cultures from fetal mouse liver respond to erythropoietin after this treatment but not after the warm trypsin method or mechanical desegregation. The cold trypsin method is more convenient, as no stirring or centrifugation is required, and the incubation at 4 c may be done overnight. This method does not take longer than warm trypsin method, however, and is not as convenient when large amount of tissue are being handled. 23,24 iii. Establishment of ES Cell Lines Expressing GFP under the Control of ALB Promoter / Enhancer (AG -ES Cells):
A 2.3-kb rat albumin (ALB) promoter/ enhancer18 was cloned into the promoterless enhanced green fluorescent protein (EGFP) vector, pEGFP-1, after digestion with SacI and KpnI restriction enzymes. The resulting construct, pALB-GFP, was electroporated into the ES cell line19 and the Hepa 1-6 ECC cell line, which was used as a positive control for GFP expression. Clones transfected with pALB-GFP were referred to as AG-ES or AG-Hepa 1-6 cells. Several independent clones were used to confirm the stable genomic integration of pALB-GFP through more than 10 passages in culture. iv. Culture and Differentiation of AG-ES Cells: 25, 26 Undifferentiated AG-ES cells were maintained as described. 25 To generate embryoid bodies, the AG-ES cells were dispersed into a single-cell suspension in Iscove's modified Dulbecco's medium (IMDM; Invitrogen, Carlsbad, CA) containing 20% fetal bovine serum (FBS; HyClone, Logan, UT), 2 mmol/L Lglutamine (Invitrogen), 300 µmol/L monothioglycerol (Sigma, St. Louis, MO), and antibiotics and cultured by the hanging drop method (1×103 ES cells/30 µL). 26 After 5 days, EBs were replated on collagen IV-coated plates and cultured for an additional 26-28 days. To induce differentiation into hepatocytes, EBs were grown in the following media: IMDM supplemented with 20% FBS, 2 mmol/L Lglutamine, and 300 µmol/L monothioglycerol, and antibiotics, William E serum-free medium (Invitrogen ) supplemented with 1×ITS (BD Bioscience), 10 µmol/L hydrocortisone-21hemisuccinate (StemCell Technologies Inc., Vancouver, BC, Canada), 0.05% bovine serum albumin (Invitrogen), 2 mmol/L ascorbic acid, 10 mmol/L nicotinamide (Sigma), 1 µmol/L dexamethasone (Sigma), 2 mmol/L Lglutamine, and antibiotics; and Hepato ZYME-SFM (Invitrogen) serum-free medium designed for primary hepatocyte cultures. The media were changed every 2 days.
Culture dishes (9 cm in diameter), used to maintain the undifferentiated ES colonies, were washed with 8 mL of ice-cold phosphate-buffered saline (PBS, pH 7.4) 3 times and then treated with 1.0 mL of 0.025% trypsin /PBS for 2 min at 37 0C . Five milliliters of ES maintenance medium containing 10% FBS was added to the culture dish to stop trypsin activity. Single cell solutions were easily obtained by repeated pipetting. Cells were washed with ice-cold PBS 3 times and finally prepared for transplantation in a PBS solution at a cell concentration of 1 × 10 6 cells/mL. v.
The standard dose of Embryonic Stem cells for the treatment damaged liver of rats was calculated according to the cell viability count. Cell suspension was administered through intraperitonial route.
Wister rats weighing 175-200g were purchased from Deccan College of medical sciences, Hyderabad Group I ( = 6) received CCl , 0.5 mL /kg body weight treatment and transplantation of graft cells. One day after the second injection of CCl , 1 × 105 GFP-positive undifferentiated ES cells (0.1 mL of 1 × 106 cells/mL solution) were transplanted into the spleen.
Group II rats ( = 6) were injected in the same manner with 0.5 mL /kg body weight of liquid paraffin twice a week, instead of CCl , and transplanted with the same amount of ES cells into the spleen as Group I.
Group III rats ( = 6) were treated with CCl and injected with 0.5 mL /kg body weight of liquid paraffin into the spleen in the same manner, instead of ES cells.
All the animals were sacrificed on 20 day under light ether anesthesia. The blood sample from each animal was collected separately in sterilized dry centrifuge tubes by carotid bleeding and allowed to coagulate for 30 min at 37°C. The clear serum was separated at 2500 rpm for 10 min and subjected to biochemical investigations viz., AST, ALT, ALP, Bilirubin and total protein in serum were analyzed. Results of biochemical estimations are reported as mean±SEM of six animals in each group. The data were subjected to one-way ANOVA followed by Tukey's multiple comparision test. P<0.001 was considered statistically significant.
The liver was excised from the animals and washed with the normal saline. The materials were fixed in 10% buffered neutral formalin for 48 h and then with bovine solution for 6 h and processed for paraffin embedding. Sections of 5m thickness were taken using a microtome, processed in alcohol-xylene series and were stained with alum haematoxylin and eosin and subjected to histopathological examination.
In CCl4 intoxicated rats, serum activities of AST, ALT, ALP, and Bilirubin were increased significantly when compared to the control (Table 1). The CCl treated group showed a marked increase in serum bilirubin (mg %) (0.82 ± 0.08), ALT (IU/L) (222.8 ± 10.14), AST (IU/L) (254.9 ± 19.3), and ALP (IU/L) (328.5 ± 5.36) activity indicating the injury caused by CCl . Treatment with the Embryonic Stem cells significantly findings demonstrate a hepatoprotective effect of the Embryonic Stem cells against CCl -mediated liver damage.
The purpose of this study was to explore the hepatoprotective effect of Embryonic Stem cells in the hepatic damage caused by CCl . Administration of CCl to normal rats increased serum levels of AST, ALT, ALP, and Bilirubin. The enzymes leaking out from damaged liver cells into circulating blood represent the damage to hepatic cells. form trichloromethylperoxy radical (Raucy et al, 1993). Both the radicals can bind covalently to the macromolecules and induce peroxidative degradation of the membrane lipids covalently to the macromolecules and induce peroxidative degradation of the membrane lipids of endoplasmic reticulum rich in polyundaturated fatty acids (Reckngael, 1967). This leads to the formation of lipid peroxides followed by pathological
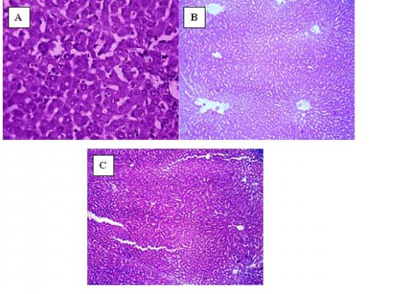
and the normal architectural liver pattern was restored as given below. Liver section of control rat showed normal hepatocytes and normal architecture (Figure 1A). Liver sections from CCl treated rats demonstrated Transverse section of the liver of CCl treated rats showing disarrangement and degeneration of normal hepatic cells with lobular necrosis, vacuole formation and fatty change. (Figure 1B). Transverse section of the liver, after simultaneous treatment of embryonic cell lines and CCl tr eated rats shows regeneration of hepatocytes, less vacuoles, disarrangement of fatty change compared to hepatotoxin (Figure 1C). These histopathological decreased the above elevated parameters Carbon tetrachloride (CCl ) is one of the most commonly used hepatotoxins in the experimental study of liver diseases. It is well documented that CCl is biotransformed under the action of cytochrome P450 in the microsomal compartment of liver to trichloromethyl radical which readily reacts with molecular oxygen to The protective effect of the Embryonic Stem cells was further confirmed by histopathological examination of the normal control (Figure 1A), CCl4 treated rats (Figure 1B) and Embryonic Stem cells (Figure 1C) treated. The liver of CCl 4 treated rats shows damaged liver cells. The histopathological pattern of the livers treated with CCl4 showed a normal lobular pattern with minimal pooling of blood in the sinusoidal spaces. Positive control liver treated with Embryonic Stem cells shows mild feathery change, little bellowing degeneration of hepatocytes with normal hepatocytes. The present study reveals the hepatoprotective activity of the Embryonic Stem cells is highly efficient in hepatoprotective activity. Thus lowering of enzyme content in serum is a definite indication of hepatoprotective action of a drug. High level of SGOT indicates liver damage such due to viral hepatitis. SGPT catalyses the conversion of alanine to pyruvate and glutamate and is released in a similar manner. Therefore SGPT is more specific to the liver and a better parameter for detecting liver damage. Cell lines decreased the level of both SGOT and SGPT significantly. Serum ALP levels are related to the status of and function of hepatic cells. Increase in serum ALP is due to increased synthesis, in presence of increasing biliary pressure. In the present study it has been found to reduce serum ALP in the treated groups compared with the untreated once. Histopathological studies showed that CCl caused central lobular necrosis, congestion of central vein and sinusoids. Cell lines administration exhibited protection against CCl induced hepatotoxicity, which confirmed the results of biochemical studies. The results of our study indicate that administration of cell lines in CCl -treated rats protects liver damage. The biochemical evaluation indicates the hepatoprotective effects of embryonic and liver cell lines shows the presence of proliferating cells which may be responsible for proper physiology of liver.
To conclude, the Embryonic Stem cells showed significant hepatoprotective activity which is confirmed by estimating the liver enzymes. Further the results are supported by histopathological studies indicating the reparative effect of Embryonic Stem cells in comparison with positive control. Any how the work under taken is a stepping stone for our future studies leading to stem cell isolation and subjecting them for the treatment of various ailments.


| ear 2012 |
| Y |
| 2 34 |
| Volume XII Issue VII Version I |
| Medical Research |
| Global Journal of |
| ear 2012 |
| Y |
| 2 36 |
| Volume XII Issue VII Version I |
| Medical Research |
| Global Journal of |
| © 2012 Global Journals Inc. (US) |
| ear 2012 | ||||||
| Y | ||||||
| Volume XII Issue VII Version I | Group Group -I CCl 4 +0.1 mL of 1 × 10 6 cells/mL solution | Total bilirubin (mg/dl) 0.33± 0.15 b | Total protein (gm %) 7.46± 0.02 | AST(IU/L) 105± 13.14 b | ALT(IU/L) 90± 11.15 b | ALP(IU/L) 238 ± 10.20 b |
| Medical Research | Group -II 0.5 mL /kg of liquid paraffin Group -III CCL 4 +0.5 mL /kg of liquid paraffin | 0.11 ± 0.02 0.82 ± 0.08 b | 9.44 ±0.02 6.93 ±0.01 | 88.17 ± 5.47 254.9 ± 19.3 a | 54 ± 2.7 222.8 ± 10.14 b | 249.5 ± 18.2 328.5 ± 5.36 b |
| Global Journal of |
Systemic infusion of FLK1(+) mesenchymal stem cells ameliorate carbon tetrachloride-induced liver fibrosis in mice. Transplantation 2004. 78 p. .
Indications of liver transplantation in patients with complications of cirrhosis. Best Pract Res Clin Gastroenterol 2007. 21 p. .
Bone marrow derived mesenchymal stem cells protect cells into CCl4-injured rats. J. Hepatol 2006. 44 p. .
The isolated rat liver, conceptual and pratical consideration. Hepatology 1986. 6 p. .
Isolation of a pluripotent cell line from early mouse embryos cultured in medium conditioned by teratocarcinoma stem cells. Proc Natl Acad Sci 1981. 78 p. .
Transplantation of bone marrow cells reduces CCl4-induced liver fibrosis in mice. Hepatology 2004. 40 p. .
Long term culture of hepatocytes, effect of hormones and metabolic capacity. Hepatology 1998. 8 p. .
against experimental liver fibrosis in rats. World J. Gastroenterol 2005. 11 p. .
Cirrhosis and chronic liver failure: part I. Diagnosis and evaluation. Am Fam Physician 2006. 74 p. .
Transition in cardiac contractile sensitivity to calcium during the in vitro differentiation of mouse embryonic stem cells. J Cell Biol 1994. 126 p. .
Endoderm-specific gene expression in embryonic stem cells differentiated to embryoid bodies. Exp Cell Res 1996. 229 p. .
Establishment in culture of pluripotential cells from mouse embryos. Nature 1981. 292 p. .
Involvement of hepatocyte nuclear factor 3 in endoderm differentiation of embryonic stem cells. Mol Cell Biol 1997. 17 p. .
Stem cells: a revolution in therapeutics-recent advances in stem cell biology and their therapeutic applications in regenerative medicine and cancer therapies. Clin Pharmacol Ther 2007. 82 p. .
Reversibility of cirrhosis in chronic hepatitis B. Clin Gastroenterol Hepatol 2004. 2 p. .
Cirrhosis and its sequelae. Textbook of Medicine, L Goldman, D Ausiello (ed.) (Philadelphia, Pa
Transplantation of fetal liver epithelial progenitor cells ameliorates experimental liver fibrosis in mice. World J. Gastroenterol Wu C.X, Chen J.S, Zhang Z.S (ed.) 2006. 12 p. . (Therapeutic effect of transplanting HGF-treated bone marrow mesenchymal)
Hepatocyte transplantation into diseased mouse liver. Kinetics of parenchymal repopulation and identification of the proliferative capacity of tetraploid and octaploid hepatocytes. Am J Pathol 2000. 157 p. .
Hepatic maturation in differentiating embryonic stem cells in vitro. FEBS Lett 2001. 497 p. .